SveikatosRumai juodas logotipas
  • Ligos
  • LPL
  • Operacijos
  • Psichologija
  • Skausmai
  • Sveikata
Nėra rezultato
Peržiūrėti visus rezultatus
SveikatosRumai juodas logotipas
  • Ligos
  • LPL
  • Operacijos
  • Psichologija
  • Skausmai
  • Sveikata
Nėra rezultato
Peržiūrėti visus rezultatus
SveikatosRumai juodas logotipas
Nėra rezultato
Peržiūrėti visus rezultatus
Pagrindinis Ligos

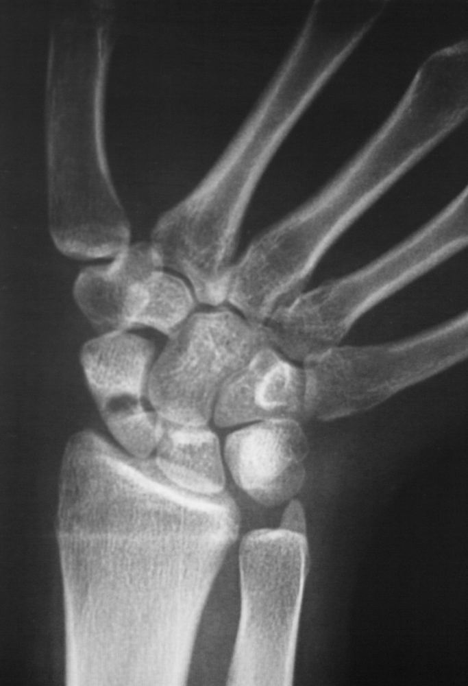
Alkūnkaulio stiloidinio ataugos lūžis

Karolina Rimkutė Paskelbė Karolina Rimkutė
2025 18 gruodžio
Kategorija Ligos
0
Alkūnkaulio stiloidinio ataugos lūžis
Share on FacebookShare on Twitter

Susiję įrašai

Ar tai lengvas kognityvinis sutrikimas, ar kas nors kita?

Ar tai lengvas kognityvinis sutrikimas, ar kas nors kita?

2026 21 balandžio
Ar galima susirgti lengva juostinės pūslelinės forma?

Ar galima susirgti lengva juostinės pūslelinės forma?

2026 21 balandžio

Kokia pieno vonios nauda, kaip ją atlikti ir ar tai saugu?

2026 21 balandžio

Dirgliosios žarnos sindromas ir dubens skausmas: ryšio supratimas ir palengvėjimo paieškos

2026 21 balandžio

Dilbio srityje yra dvi pagrindinės kaulo struktūros – stipinkaulis ir alkūnkaulis. Alkūnkaulis prasideda ties riešo išorine dalimi, o stipinkaulis – vidine. Ties alkūnkaulio galu, prie pat plaštakos, susiformavęs kaulinis išsikišimas, vadinamas alkūnkaulio pentine atauga. Ji įsitvirtina riešo sąnario kremzlėje ir užtikrina riešo tvirtumą bei lankstumą. Kai šioje vietoje įvyksta lūžis, jis vadinamas alkūnkaulio pentinės ataugos lūžiu.

Simptomai

Dažniausias alkūnkaulio pentinės ataugos lūžio požymis – staigus skausmas. Paprastai šis lūžis būna kartu su stipinkaulio lūžiu, todėl neretai jaučiamas skausmas ne šalia alkūnkaulio ataugos, o arčiau stipinkaulio – riešo vidinėje pusėje.

  • Pabrinkimas
  • Skausmingumas
  • Mėlynės

Jei traumos sunkesnės, gali pasikeisti riešo ar plaštakos padėtis, jos gali pasvirti neįprastu kampu.

Priežastys

Alkūnkaulio pentinės ataugos lūžiai dažniausiai įvyksta, kai krentant bandoma atsiremti ištiesta ranka. Tai labiausiai paplitęs riešo bei rankos kaulų lūžių priežastis.

  • Eismo įvykiai
  • Smarkūs kritimai
  • Sportinės traumos, ypač kai gaudomi skriejantys kamuoliai

Jei žmogus serga osteoporoze, kaulai tampa trapesni ir padidėja lūžių tikimybė net nuo menkesnių sužeidimų.

Gydymas

Lūžusius kaulus būtina tinkamai sugrąžinti į pradinę padėtį ir užfiksuoti, kad jie galėtų suaugti. Priklausomai nuo lūžio sudėtingumo, taikomi skirtingi gydymo būdai.

Nesmarkiam lūžiui paprastai pakanka riešo imobilizacijos – riešas sutvirtinamas specialiu gipsu ar įtvaru. Kartais prieš tai kaulai sulygiuojami, vadinama kaulų repozicija, kuri kai kuriais atvejais atliekama be pjūvio.

Jei lūžis sudėtingas ar pažeisti kiti šalia esantys kaulai, dažnai reikalinga chirurginė operacija. Šiuo atveju gydytojas padaro pjūvį, sugretina kaulus ir naudoja metalinius varžtus ar kaiščius, kad fragmentai tinkamai sugijtų. Po operacijos dedamas tvirtas gipsinis arba stiklo pluošto įtvaras.

Gyjimo eiga

Kiek laiko truks pilnas atsistatymas, lemia traumos sunkumas ir tai, ar buvo pažeisti kiti netoliese esantys kaulai. Praėjus kelioms dienoms po traumos dažniausiai pastebimas patinimas aplink riešą. Rankai fiksuoti gali prireikti įtvaro, kuris riboja judesius ir saugo gijimo procesą.

Gipsas dažniausiai nešiojamas kelias savaites – tiek, kiek reikia, kad patinimas sumažėtų ir kaulas pradėtų tvirtėti. Jei gipsas vėliau tampa per laisvas, jį gali prireikti pakeisti kitu. Po sudėtingų lūžių, kai reikėjo operacijos, iš karto dedamas stiprus įtvaras, o gydymo metu gydytojas gali periodiškai vertinti gijimą rentgeno nuotraukomis.

Nedidelei daliai pacientų su lengvesnėmis traumomis iki įprastų veiklų galima grįžti po vieno ar dviejų mėnesių. Esant sunkesnėms traumoms, aktyvus judėjimas galimas praėjus trims–šešiems mėnesiams. Verta žinoti: pilnai atgauti visas funkcijas kartais gali užtrukti metus ar net ilgiau. Silpnas, kartais jutimas ir riešo sustingimas gali likti iki dvejų metų.

Kiekvienam pacientui gydymo eiga gali skirtis, tad gautą konkretų prognozės laiką nulemia sveikatos būklė ir lūžio pobūdis.

Santrauka

Pats savaime alkūnkaulio pentinės ataugos lūžis dažniausiai rimtų problemų nekelia. Dažniausiai tokie lūžiai įvyksta kartu su stipinkaulio pažeidimu. Atsigavimo trukmė labai individuali ir priklauso nuo žalos masto – nuo keleto savaičių iki pusės metų ar ilgiau, kol galima grįžti prie buvusio fizinio aktyvumo.

Karolina Rimkutė

Karolina Rimkutė

Gydytoja ir medicinos mokslų daktarė, turinti daugiau nei 15 metų patirtį įvairiose medicinos srityse. Karolina yra aistringa švietėja, siekianti suteikti žmonėms moksliškai pagrįstą ir suprantamą informaciją apie įvairias ligas, jų simptomus, prevenciją ir gydymo galimybes. Baigusi medicinos studijas Lietuvos sveikatos mokslų universitete, Karolina tęsė doktorantūros studijas Heidelbergo universitete Vokietijoje, kur tyrinėjo lėtinių uždegiminių ligų mechanizmus. Ji taip pat yra dirbusi su pacientais pirmosios pagalbos skyriuose, bendrosios praktikos klinikose ir specializuotose ligoninėse, todėl turi platų klinikinį supratimą apie daugelį sveikatos sutrikimų. Dr. Rimkutė rašo straipsnius apie įvairiausias temas: nuo dažniausiai pasitaikančių peršalimo ligų ir autoimuninių sutrikimų iki retų genetinių ligų ir naujausių gydymo metodų. Ji tiki, kad geras sveikatos švietimas gali išgelbėti gyvybes, todėl stengiasi perteikti medicinos žinias paprasta ir aiškia kalba. Be straipsnių rašymo, Karolina yra dažna medicinos konferencijų pranešėja ir aktyviai dalyvauja visuomenės sveikatos kampanijose. Kai nerašo ir nedirba su pacientais, ji mėgsta skaityti mokslinę literatūrą, lankyti meno parodas ir leisti laiką gamtoje. Dr. Rimkutės misija – padėti kiekvienam žmogui geriau suprasti savo sveikatą ir priimti informuotus sprendimus apie gydymą bei prevenciją

Susiję Pranešimai

Ar tai lengvas kognityvinis sutrikimas, ar kas nors kita?
Ligos

Ar tai lengvas kognityvinis sutrikimas, ar kas nors kita?

Paskelbė Lukas Grinčius
2026 21 balandžio
Ar galima susirgti lengva juostinės pūslelinės forma?
Ligos

Ar galima susirgti lengva juostinės pūslelinės forma?

Paskelbė Lukas Grinčius
2026 21 balandžio
Kokia pieno vonios nauda, kaip ją atlikti ir ar tai saugu?
Sveiko kūno priežiūra

Kokia pieno vonios nauda, kaip ją atlikti ir ar tai saugu?

Paskelbė Sveikatingumas
2026 21 balandžio
Kitas įrašas
aip pagerinti miegą kenčiantiems nuo RL

aip pagerinti miegą kenčiantiems nuo RL

Parašykite komentarą Atšaukti atsakymą

El. pašto adresas nebus skelbiamas. Būtini laukeliai pažymėti *

Rekomenduojame

Pažastų skausmas

Pažastų skausmas: 9 dažnos priežastys (ir ką daryti)

2026 16 sausio
Dešinės pusės krūtinės skausmas

Dešinės pusės krūtinės skausmas

2026 18 sausio
skauda desini sona prie sonkauliu

Skausmas po dešiniuoju šonkauliu

2026 18 sausio

Poikilocitozė: priežastys, simptomai ir gydymas

2025 26 spalio
Ar tai lengvas kognityvinis sutrikimas, ar kas nors kita?

Ar tai lengvas kognityvinis sutrikimas, ar kas nors kita?

2026 21 balandžio
Ar galima susirgti lengva juostinės pūslelinės forma?

Ar galima susirgti lengva juostinės pūslelinės forma?

2026 21 balandžio
Kokia pieno vonios nauda, kaip ją atlikti ir ar tai saugu?

Kokia pieno vonios nauda, kaip ją atlikti ir ar tai saugu?

2026 21 balandžio
Dirgliosios žarnos sindromas ir dubens skausmas: ryšio supratimas ir palengvėjimo paieškos

Dirgliosios žarnos sindromas ir dubens skausmas: ryšio supratimas ir palengvėjimo paieškos

2026 21 balandžio
SveikatosRumai.lt

Internetinis projektas, skirtas populiarinti sveiką gyvenseną: informacija, praktiniai patarimai ir specialistų įžvalgos vardan jūsų gerovės.

Naujausi įrašai

  • Ar tai lengvas kognityvinis sutrikimas, ar kas nors kita?
  • Ar galima susirgti lengva juostinės pūslelinės forma?
  • Kokia pieno vonios nauda, kaip ją atlikti ir ar tai saugu?

Skaičiuoklės

  • KMI skaičiuoklė pagal metus
  • Vaisingų dienų skaičiuoklė
  • Nėštumo skaičiuoklė
  • KMI skaičiuoklė
  • Reklama

Kita

  • Apie mus
  • Kontaktai
  • Reklama
  • Reklamos ir rėmimo politika
  • Editorial Policy
  • Privatumo politika
  • Taisyklės ir sąlygos

2021 - 2026 © Copyright SveikatosRumai.lt. All Rights Reserved.

Nėra rezultato
Peržiūrėti visus rezultatus
  • Gydytojų sritys
  • Ligos
  • Lytiškai plintančios ligos
  • Nėštumas
  • Odontologija
  • Operacijos
  • Psichologija
  • Seksualinė sveikata
  • Skausmai
  • Sveikata
  • Tyrimai
  • Vaistai

2021 - 2026 © Copyright SveikatosRumai.lt. All Rights Reserved.