Kepenų cistos – tai skysčiu užpildytos pūslelės, susidarančios kepenyse. Dauguma jų būna nepiktybinės ir žmogui nekenksmingos. Dažniausiai cistos būna nedidelės ir jokių simptomų nesukelia, tad dauguma žmonių net nežino apie jų egzistavimą. Vis dėlto kartais tam tikri paveldimi sutrikimai gali nulemti didesnių ar sudėtingesnių cistų susiformavimą, kuriems gali prireikti gydymo.
- 1.Ar kepenų cistos dažnos?
- 2.Kas dažniausiai turi kepenų cistų?
- 3.Ar kepenų cistos pavojingos?
- 4.Ar kepenų cistos gali išnykti savaime?
- 5.Kokio dydžio būna kepenų cistos?
- 6.Kepenų cistų simptomai
- 7.Kepenų cistų priežastys
- 8.Kaip nustatomos kepenų cistos?
- 9.Kepenų cistų gydymas
- 10.Ar įmanoma išvengti kepenų cistų?
- 11.Perspektyvos sergant kepenų cistomis
- 12.Kaip rūpintis savimi turint kepenų cistą?
- 13.Kokius klausimus galima aptarti su gydytoju?
Ar kepenų cistos dažnos?
Paprastos, gerybinės kepenų cistos – tai plačiausiai paplitęs šios būklės tipas. Nors įprasta manyti, kad kepenų cistų pasitaiko nedažnai, jos aptinkamos apie 15–18 % žmonių tam tikrose pasaulio šalyse ir 5–10 % pasaulio gyventojų. Simptomų paprastai nejaučia apie devyni iš dešimties žmonių.
Kas dažniausiai turi kepenų cistų?
Kepenų cistų galima rasti tiek vyrų, tiek moterų organizme – dažniausiai jos aptinkamos 30–70 metų amžiaus žmonėms. Įdomu tai, kad cistų dažniau turi moterys, tačiau vyrams jos dažniau pasitaiko vėliau per gyvenimą.
Ar kepenų cistos pavojingos?
Dauguma kepenų cistų nėra pavojingos gyvybei ir į piktybines formacijas pereina itin retai. Visgi mažai tikėtina, tačiau dalis kepenų cistų gali virsti išankstinio piktybinio ar net piktybinio pobūdžio dariniu. Apytiksliai tik 1–5 % visų kepenų cistų gali tapti iš anksto piktybinėmis, o apie 30 % iš jų – vėžinėmis. Tokiais atvejais gydymui taikomas chirurginis šalinimas.
Yra tam tikrų cistinių kepenų ligų, kurioms reikia papildomo gydymo arba operacijos:
- Hidatidozė. Tai parazitinė kepenų cistų liga, kurią sukelia parazitai, dažniausiai plintantys per šunis ar avis. Užsikrėtus gali išsivystyti cistos ne tik kepenyse, bet ir kitose kūno vietose. Negydoma ši liga gali sukelti karščiavimą, gelta ar eozinofiliją – padidėjusį baltųjų kraujo kūnelių kiekį. Gydymui taikomi vaistai, įskaitant chemoterapiją, bei operacija cistoms pašalinti.
- Policistinė kepenų liga. Tai retas, paveldimas sutrikimas, pasireiškiantis 1–10 žmonių iš 100 000. Ligai būdingos stambios, vynuogių kekę primenančios cistų sankaupos kepenyse. Tik penktadalis žmonių su šia liga jaučia simptomus (dauguma – suaugę). Bėgant laikui, kepenys gali padidėti ir sukelti pilvo pūtimą bei diskomfortą. Gydoma vaistais ir chirurginiu būdu.
Ar kepenų cistos gali išnykti savaime?
Kai kuriais atvejais paprastos, gerybinės cistos laikui bėgant sumažėja ar net visiškai išnyksta. Vis dėlto daugeliu atvejų kepenų cistos lieka tos pačios, nesukeldamos jokių nusiskundimų. Jeigu cistos tampa didelės arba pradeda spausti kitas kepenų dalis, gali būti taikomas chirurginis pašalinimas.
Kokio dydžio būna kepenų cistos?
Cistos dydis gali labai skirtis – nuo vos įžiūrimo taškelio iki keturių centimetrų ar net daugiau. Dažnai net didelės cistos simptomų nesukelia, tačiau kai jos išauga, gali būti juntamos ar net matomos.
Kepenų cistų simptomai
Daugeliu atvejų tiek gerybinės, tiek piktybinės kepenų cistos nesukelia jokių simptomų, ypač jei jos mažos. Visgi kai kurios cistos gali sukelti nemalonių pojūčių. Įprasti simptomai:
- Maudžiantis skausmas viršutinėje dešinėje pilvo dalyje
- Pilvo pūtimas ar išsipūtimas
- Pykinimas, vėmimas
- Apetito stoka arba sotumo jausmas netgi suvalgius mažai
- Dusulys
- Žymūs dariniai, juntami pilve
- Gelta, jei cistos užspaudžia tulžies latakus
- Karščiavimas ir staigus pilvo skausmas, ypač suplyšus cistai
Kepenų cistų priežastys
Pagrindinis paprastų kepenų cistų bruožas – jos dažniausiai atsiranda dėl įgimtų, nuo gimimo esančių pokyčių. Tiksli priežastis, kodėl susiformuoja šios cistos, dažnu atveju nėra aiški.
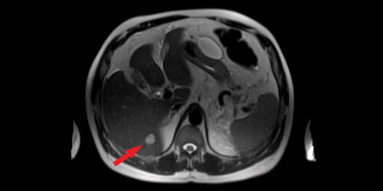
Kaip nustatomos kepenų cistos?
Dažnai kepenų cistos aptinkamos visai netikėtai – darant vidaus organų vizualinius tyrimus dėl kitų priežasčių. Galimi tyrimo metodai:
- Ultragarsinis tyrimas. Gydytojai naudoja aukšto dažnio garso bangas, kad matytų kepenų vaizdą realiu laiku.
- Kompiuterinė tomografija (KT). Naudojant rentgeno spindulius ir kompiuterį sukuriami detalūs kepenų vaizdai trimatėje erdvėje.
- Magnetinio rezonanso tyrimas (MRT). Šio tyrimo metu panaudojamas didelis magnetas bei radijo bangos tam, kad būtų gautas itin aiškus vidaus organų vaizdas.
Jei vizualinių tyrimų metu pastebimos kepenų cistos, gydytojai gali atlikti papildomus tyrimus, kad išsiaiškintų ar nėra piktybinės ar iš anksto piktybinės cistos arba kitos ligos (pvz., policistinės kepenų ligos ar parazitinių cistų):
- Išsamus fizinis ir klinikinis ištyrimas
- Paciento medicininės ir paveldimos anamnezės, kelionių istorijos analizė
- Specializuoti kraujo tyrimai, padedantys nustatyti antikūnų buvimą
- Kontrastinis ultragarsas – leidžia dar tiksliau įvertinti cistų ypatybes
Kepenų cistų gydymas
Daugumai gerybinių arba paprastų kepenų cistų jokio gydymo nereikia – ypač kai jos nesukelia jokių simptomų. Tačiau jei cista didelė (didesnė nei 4 cm), ji gali būti pašalinama chirurginiu būdu.
Gydymo pasirinkimai priklauso nuo cistos dydžio, tipo ir sukeliamų simptomų:
- Punkcija (per odą). Gydytojas, padedamas ultragarsinio arba KT tyrimo, įstato adatą ar kateterį į cistą ir ištraukia skystį.
- Cistos sienelės pašalinimas (fenestracija). Operacija, kurios metu pašalinama dalis cistos sienos, ypač kai cista yra didelė.
- Kepenų rezekcija. Pašalinama dalis kepenų kartu su cistine struktūra.
- Transarterinė embolizacija (TACE). Tai procedūra, kurios metu į kepenis vedančiose kraujagyslėse sulaikomi priešvėžiniai vaistai, kad jie veiktų tik taikinį, nepasiskirstytų po visą organizmą.
- Kepenų transplantacija. Taikoma ypač retai, paprastai policistinės kepenų ligos atveju, kai kiti gydymo būdai neefektyvūs.
Ar įmanoma išvengti kepenų cistų?
Dauguma kepenų cistų būna įgimtos, todėl prevencija šiuo atveju yra sudėtinga ar neįmanoma.
Perspektyvos sergant kepenų cistomis
Kokios yra tikėtinos prognozės susidūrus su kepenų cista, priklauso nuo konkretaus jos tipo:
- Dauguma gerybinių cistų jokių nusiskundimų nesukelia ir ilgainiui nesikeičia. Tokiu atveju gydytojas rekomenduoja periodiškai tikrintis ultragarso ar kitais vizualiais tyrimais, paprastai kas tris mėnesius, kad būtų galima stebėti cistų būklę.
- Kai kuriais atvejais rekomenduojama chirurginė cistų šalinimo operacija, ypač jei jos didelės ar nustatytas piktybinis pobūdis. Tyrimai rodo, kad pašalinus cistas chirurginiu būdu, jos retai atauga. Individualų stebėsenos planą gydytojas sudaro atsižvelgdamas į kiekvieną atvejį.
Kaip rūpintis savimi turint kepenų cistą?
Jei jums paskirtas gydymas ar chirurginė intervencija dėl kepenų cistų, pasikonsultuokite su gydytoju dėl galimų gydymo poveikių ir reikiamų priemonių savijautai palaikyti.
Kokius klausimus galima aptarti su gydytoju?
- Kaip atskirti, ar mano cista yra nepiktybinė, ar piktybinė?
- Kokių tyrimų dar reikės?
- Ar gali tekti atlikti kepenų biopsiją?
- Ar galimas cistos pašalinimas, jei ji sukelia diskomfortą?
- Ar bus atliekama tolesnė stebėsena dėl cistos dydžio ir vietos pokyčių?
- Ar rekomenduojama tirti dėl cistų ir kitose kūno vietose?












