Lissencefalija – tai reta smegenų raidos sutrikimo forma, kai kūdikio smegenų paviršius lieka neįprastai lygus. Įprastai žmogaus smegenys būna išvagotos raukšlių ir griovelių, kurie padeda sutalpinti didelį kiekį nervinio audinio nedidelėje erdvėje. Šie smegenų raukšlės pradeda formuotis dar vaisiaus vystymosi laikotarpiu, tačiau sergant lissencefalija šis natūralus procesas sutrinka, todėl smegenų išorė išlieka lygi. Dėl šio vystymosi sutrikimo dažnai pažeidžiamos kūdikio nervų sistemos funkcijos, o požymiai gali būti įvairaus sunkumo.
Lissencefalijos simptomai
Nors kai kurie kūdikiai, sergantys lissencefalija, gali būti gimę su mažesne galva (tai vadinama mikrolissencefalija), ne visi šį požymį turi. Ligos simptomai neapsiriboja vien tik galvos dydžiu – dažnai pasitaiko ir kitų raidos sutrikimų.
- Maitinimosi sunkumai
- Lėtesnis svorio augimas arba nesugebėjimas priaugti svorio
- Protinio vystymosi sutrikimai
- Neįprasta rankų, kojų ar pirštų forma
- Raumenų spazmai
- Judėjimo bei psichomotorinės raidos atsilikimas
- Priepuoliai arba traukuliai
- Rijimo sunkumai
Kai kuriais atvejais genetiniai tyrimai ir vaisiaus smegenų echoskopija gali padėti nustatyti lissencefaliją – ypač jei šeimoje yra buvę šios ligos atvejų. Dažniausiai išsamesnis tyrimas atliekamas nuo 23 nėštumo savaitės.
Priežastys ir vystymosi eiga
Dažniausiai lissencefaliją lemia genetiniai pokyčiai, tačiau kartais svarbų vaidmenį gali turėti ir infekcijos nėštumo metu ar sumažėjęs vaisiaus aprūpinimas krauju. Nustatyta, kad kelių genų pažeidimai gali nulemti skirtingas šios ligos formas ir sunkumą. Intensyviai vykstantis šios srities tyrinėjimas atranda vis daugiau genų, susijusių su lissencefalija.
Pirmasis šios būklės vystymosi etapas fiksuojamas tarp 12 ir 14 nėštumo savaitės, kai nervinės ląstelės ima judėti į tam tikras smegenų vietas. Jei šis judėjimas (miigracija) neprasideda arba sustoja, smegenų paviršius nesusiformuoja taip, kaip turėtų.
Sunkesnės lissencefalijos formos neretai sutinkamos kartu su retais genetiniais sindromais, pavyzdžiui, Miller-Dieker ar Walker-Warburg sindromais, tačiau gali išsivystyti ir kaip savarankiška būklė.
Diagnozavimo eiga
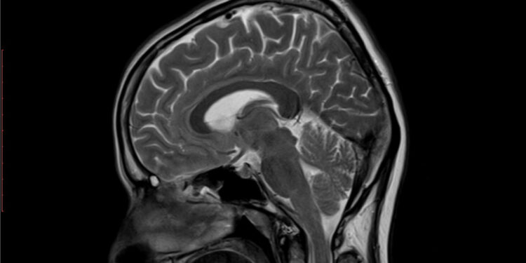
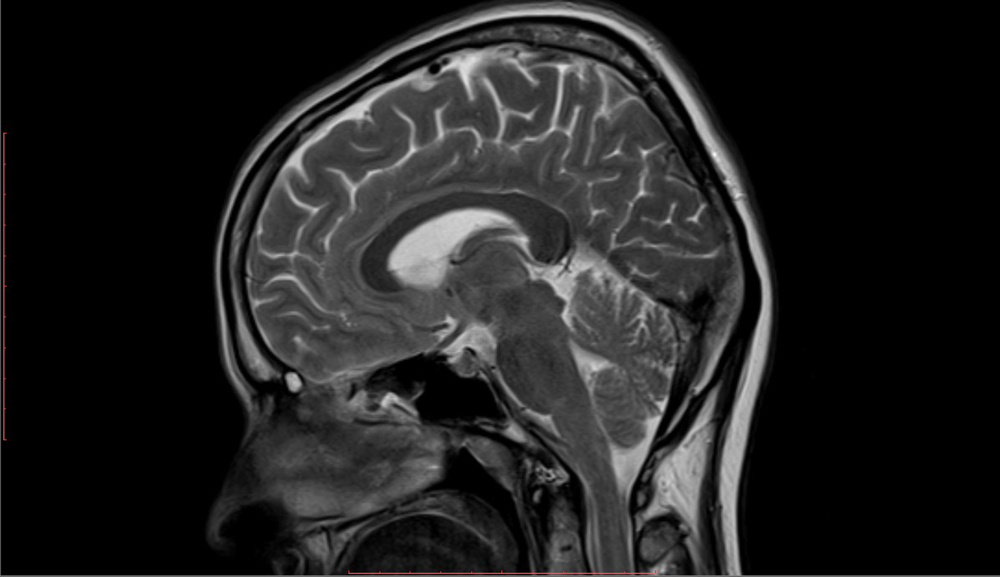
Pastebėjus kūdikyje galimus raidos ar neurologinius sutrikimus, gydytojas dažniausiai skiria tyrimus, kurie leidžia detaliau įvertinti smegenų struktūrą. Tuo tikslu atliekami ultragarsiniai, kompiuterinės tomografijos (KT) arba magnetinio rezonanso tyrimai (MRT). Tyrimų metu įvertinamas išorinės smegenų dalies lygumas ir griovelių storis.
Lissencefalijos sunkumas gali būti apibūdintas keliais lygiais. Pavyzdžiui, kai beveik visose smegenų dalyse nustatomas paviršiaus glotnumas (agyrija), kalbama apie pirmą sunkumo laipsnį. Tai labai retas atvejis, paprastai reiškiantis itin sudėtingą eigą ir stiprius raidos vėlavimus.
Daugumai vaikų būdingas trečias lissencefalijos laipsnis – tuomet priekinėse ar šoninėse smegenų dalyse matomas griovelių sustorėjimas (pachygyrija), o kitose vietose – paviršiaus lygumas.
Lissencefalijos gydymas
Lissencefalijos išgydyti negalima, todėl gydymo priemonės orientuotos į pagalbą vaikui ir kasdienės būklės palengvinimą. Jei mažyliui sunku maitintis ar ryti, gali prireikti įvesti gastrostominį vamzdelį – specialią maitinimo sistemą į skrandį.
Esant smegenų skysčio susikaupimui (hidrocefalijai), kartais atliekama operacija, kurios metu skystis pašalinamas, taip sumažinant slėgį smegenyse.
Priepuolių ar traukulių atveju, gydytojas gali paskirti vaistų priepuolių kontrolei užtikrinti.
Ligos eiga ir prognozė
Lissencefalijos įtaką ateičiai daugiausia nulemia ligos sunkumas. Sunkiausiais atvejais vaiko vystymasis gali sustoti ties 3–5 mėnesių raidos lygiu. Tokie vaikai dažnai nesulaukia ilgo amžiaus – vidutiniškai gyvenimo trukmė būna apie dešimt metų. Įprastos sunkios eigos komplikacijos: maisto ar skysčių įkvėpimas (aspiracija), kvėpavimo ligos ir traukuliai.
Lengvesnių formų lissencefaliją turintys vaikai gali vystytis daugmaž normaliai, jų smegenų funkcija išlieka artima įprastai.












