McArdle liga – tai paveldima būklė, kuri daugiausia veikia griaučių raumenis, atsakingus už judėjimą. Ši liga dar vadinama penktojo tipo glikogeno kaupimo liga (GSD5). Dėl šios retos ligos raumenys negauna tam tikro fermento, vadinamo miofosforilaze, kurio trūkstant, sutrinka raumenų gebėjimas aprūpinti save energija iš glikogeno atsargų. Tai dažnai pasireiškia raumenų nuovargiu, skausmingais spazmais ar silpnumu, ypač užsiimant aktyvia fizine veikla.
Kiek paplitusi McArdle liga?
Ši liga yra reta – mokslininkų duomenimis, ja suserga vos vienas iš 50 000–200 000 žmonių. Dažniausiai pirmieji simptomai pastebimi paauglystėje ar jaunystėje, tačiau liga gali pasireikšti ir bet kokiame amžiuje.
McArdle ligos simptomai
Ligos požymiai kiekvienam žmogui gali būti labai skirtingi, tačiau dažniausiai pasireiškia greitu nuovargiu ar ištvermingumo stoka fizinės veiklos metu. Papildomai galima patirti:
- Raumenų skausmą
- Jėgų trūkumą
- Spazmus ar mėšlungį
- Raumenų stingulį
- Bendrinį silpnumą
Kai tik pradedamas aktyvus judėjimas, visi simptomai sustiprėja, tačiau pailsėjus dažniausiai sumažėja. Pailsėjus po pradinių sunkumų galima pajusti vadinamąją „antrąją kvėpavimo bangą“ – vėl galima lengviau judėti. Dauguma žmonių, kuriems diagnozuota ši liga, nejaučia simptomų tarp fizinių veiklų epizodų.
Lengvas ar vidutinio sunkumo fizinis krūvis, tarkime, vaikščiojimas lygia vietove, dažnai būna pakeliamas. Vis dėlto sunkesni ar intensyvesni judesiai, ypač tie, kurių metu reikia įtempti raumenis be judėjimo (pavyzdžiui, kilnojant sunkius daiktus ar ilgai stovint ant pirštų galų), gali padidinti raumenų pažeidimo pavojų.
Galimos McArdle ligos komplikacijos
Maždaug pusei sergančiųjų po didelio fizinio krūvio gali prasidėti raumenų irimas, vadinamas rabdomiolize. Tai pavojinga būklė, galinti ūmiai pažeisti inkstus ir sukelti pavojingą kalio perteklių kraujyje. Norint išvengti rimtų komplikacijų, svarbu stebėti savo fizinio krūvio intensyvumą. Jei pastebite raumenų tinimą ar šlapimo spalvos pakitimus į rudą, raudoną ar arbatos atspalvį, reikėtų kuo skubiau kreiptis į medikus.
McArdle ligos priežastys
Pagrindinė ligos priežastis – pokyčiai vadinamajame PYGM gene, kuris atsakingas už fermento miofosforilazės, būtinos skaidyti raumenų glikogeną į gliukozę, gamybą. Kai šio fermento nėra arba jo labai mažai, raumenyse susikaupęs glikogenas negali būti efektyviai panaudojamas energijai gaminti, todėl raumenys pradeda greičiau pavargti.
Iki šiol aptikta net 179 šio geno variantai, galintys lemti ligos išsivystymą. McArdle liga paveldima autosominiu recesyviniu būdu, tai reiškia, kad priežastinį geno variantą žmogus paveldi iš abiejų tėvų, tačiau patys nešiotojai dažniausiai jokių simptomų nejaučia.
Kaip nustatoma McArdle liga?
Ligos diagnostika remiasi keletu tyrimų. Dažniausiai atliekamas dilbio raumenų testas: imamas kraujo mėginys prieš ir po trumpos raumenų veiklos, vertinant pieno rūgšties (laktato) bei amoniako kiekio pokyčius. Jei po fizinės veiklos laktato kiekis nepadidėja ar pakinta minimaliai, įtariama ši liga, nes paprastai laktatas turėtų padidėti apie tris kartus.
- Kreatinkinazės tyrimas – šio fermento kiekis kraujyje padidėja kai pažeidžiami raumenys. McArdle ligai būdingas nuolat aukštas kreatinkinazės kiekis.
- Streso testas su laipsniškai didinamu fiziniu krūviu – stebima, ar po trumpalaikės fizinės veiklos ir poilsio žmogui atsiranda „antroji kvėpavimo banga“.
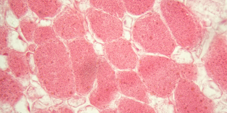
- Raumens biopsija – paimama nedidelė raumens audinio dalelė ir mikroskopiškai tiriama dėl ligai būdingų pokyčių.
- Genetiniai tyrimai gali padėti tiksliai nustatyti pokyčius gene, atsakingame už ligą.
McArdle ligos valdymas ir gydymas
Šios ligos išgydyti šiuo metu nėra galimybės, todėl daugiausia dėmesio skiriama ligos valdymui. Pagrindinis uždavinys – vengti veiklų, kurios paaštrina simptomus. Tačiau visiškas fizinės veiklos atsisakymas taip pat kenkia sveikatai.
Nagrinėjant ligonių patirtis, paaiškėjo, kad individualiai pritaikyta vidutinio intensyvumo aerobinė mankšta gali stipriai pagerinti gyvenimo kokybę: sumažėja nuovargis, o „antroji kvėpavimo banga“ atsiranda greičiau. Sudaryti tinkamiausią pratimų ir fizinio aktyvumo planą padeda gydytojas ir kineziterapeutas.
Taip pat pastebėta, kad daugiau angliavandenių turintis mitybos planas padeda sušvelninti ligos simptomus esant fiziniam krūviui. Tai padeda raumenims gauti energiją iš kraujyje esančios gliukozės, o ne iš glikogeno sankaupų. Rekomenduojama, kad:
- Maždaug 65 % suvartojamų kalorijų sudarytų sudėtiniai angliavandeniai (daržovės, vaisiai, kruopos, makaronai, duona, ryžiai).
- 20 % raciono būtų riebalai.
- 15 % – baltymai.
Papildomai gali padėti nedidelis kiekis paprastų cukrų (pvz., saldus sportinis gėrimas) iš karto prieš fizinę veiklą.
Ar galima išvengti McArdle ligos?
Kadangi liga yra genetinė, jos išvengti neįmanoma. Jei nerimaujate dėl galimybės perduoti šią ar kitą paveldimą ligą savo vaikams, verta apsvarstyti genetinę konsultaciją planuojant šeimą.
Gyvenimas su McArdle liga
Dauguma žmonių, turinčių šią diagnozę, gali gyventi pilnavertį gyvenimą. Tik daliai sergančiųjų vyresniame amžiuje gali atsirasti stipresnis nuolatinis raumenų silpnumas ar raumenų mažėjimas. Svarbu nuolat stebėti savo būklę ir vengti rabdomiolizę galinčių sukelti veiksnių.
Liga neturi įtakos gyvenimo trukmei – tai dažniausiai nesutrumpina gyvenimo trukmės. Išimtis – itin reta kūdikiškos formos McArdle liga, pasireiškianti dar kūdikystėje ir stipriai sutrumpinanti gyvenimą dėl sunkios eigos.
Kada kreiptis į gydytoją dėl McArdle ligos?
Jeigu pastebite, kad jūsų simptomai stiprėja ar sunkiau nei įprastai sekasi fizinė veikla, kreipkitės į gydytoją. Taip pat rekomenduojama reguliariai konsultuotis su kineziterapeutu ar dietologu, kurie padės koreguoti gydymo planą.
Kada būtina nedelsti ir kreiptis į skubią pagalbą?
Jei pajutote rabdomiolizei būdingus simptomus, nedelskite – reikalinga skubi pagalba:
- Raumenų patinimas
- Netaip kaip įprastai silpni ar skausmingi raumenys
- Labai tamsus (rudas, raudonas ar arbatos spalvos) šlapimas
- Nuovargis, pykinimas
- Sumažėjęs šlapinimasis
- Dehidratacija
- Sąmonės netekimas













