MELAS sindromas yra reta mitochondrijų funkcijos sutrikimo liga, kuri daugiausia pažeidžia nervų sistemą bei raumenis. Sergant šia genetine būkle, organizme kaupiasi pieno rūgštis ir gali pasikartoti insultą primenantys epizodai. Tarp žodžio MELAS sudėtinių dalių glūdi svarbiausi ligos požymiai: mitochondrijų encefalomiopatija, laktatacidozė bei insulto tipo epizodai.
- 1.Kas atsitinka sergant MELAS sindromu?
- 2.Kaip dažnai pasitaiko MELAS sindromas?
- 3.MELAS sindromo simptomai
- 4.Kas lemia MELAS sindromo atsiradimą?
- 5.MELAS sindromo komplikacijos
- 6.Kaip nustatoma ši liga?
- 7.Kaip gydomas MELAS sindromas?
- 8.Prevencija
- 9.Gyvenimas su MELAS sindromu
- 10.Kasdienė priežiūra sergant MELAS sindromu
Kas atsitinka sergant MELAS sindromu?
Mitochondrijos – tai beveik visų ląstelių „elektrinės“, kurios gamina organizmui reikalingą energiją. Energijos išgavimo metu šalutiniame produkte susidaro pieno rūgštis. Turint MELAS sindromą, ši rūgštis kaupiasi kūne, o dėl mitochondrijų veiklos sutrikimų ima silpti įvairios organizmo sistemos.
Ši liga perduodama genetiškai, dažniausiai paveldima iš motinos. Tačiau simptomai ne visada pastebimi iškart – daug žmonių juos pajunta iki 20 metų amžiaus, tačiau liga gali prasidėti ir vaikystėje iki 2 metų, arba išryškėti vėliau, net po 40-mečio.
Kaip dažnai pasitaiko MELAS sindromas?
Apytiksliai vertinama, kad ši liga pasitaiko vienam iš 4000 žmonių. MELAS sindromu gali susirgti bet kuris asmuo, tačiau perduoti šią mutaciją vaikams gali tik moterys.
MELAS sindromo simptomai
Dėl to, kad mitochondrijos aptinkamos visose ląstelėse, MELAS sindromas gali paveikti praktiškai bet kurį organą ar audinį, todėl pasireiškia skirtingais požymiais.
Beveik visiems sergantiesiems dar prieš pastebint nervų sistemos pažeidimų požymius, išsivysto cukrinis diabetas bei sutrinka klausa.
Nervų sistemos (neurologiniai) simptomai
- Pokyčiai elgesyje
- Sumišimas
- Galvos svaigimas ar pusiausvyros praradimas
- Negebėjimas pajudinti vienos kūno dalies (paralyžius)
- Nutirpimas ar dilgčiojimas vienoje pusėje kūno
- Pasikartojantys galvos skausmai, kartu su regos ar kalbos pablogėjimu
- Traukuliai
- Nerišlūs žodžiai ar kalbos pokyčiai
- Dvigubas matymas ar regos netekimas
- Sustiprėjęs silpnumas vienoje kūno pusėje
Kitų organų ar sistemų simptomai
- Žemas ūgis
- Dažnas vėmimas
- Pilvo skausmai
- Lėtinis nuovargis
- Raumenų mėšlungis
Kas lemia MELAS sindromo atsiradimą?
Ligos šaknis – genetinės mutacijos, kurios pakeičia ląstelių informaciją. Su MELAS sindromu susijusiai mutacijai būdinga, kad ji visada paveldima iš motinos. Tokie pokyčiai gali būti perduoti gimus, o retkarčiais susiformuoti ir gyvenimo eigoje.
Rizikos veiksniai
Pagrindinis rizikos veiksnys – šeimoje jau buvę MELAS sindromo atvejai. Jei šeimoje diagnozuota ši liga, padidėja ir kitų šeimos narių rizika susirgti.
MELAS sindromo komplikacijos
- Intelekto sulėtėjimas ir galinti išsivystyti demencija
- Cukrinis diabetas
- Klausos praradimas
- Raumenų funkcijų sutrikimai, įskaitant spazmus ir jų kontrolės praradimą
- Eisenos ar pusiausvyros problemos
- Regos netekimas
- Kepenų funkcijos sutrikimai
Kaip nustatoma ši liga?
Diagnozės nustatymui gydytojas pasiima ligos istoriją, teiraujasi apie simptomus ir atlieka įvairius tyrimus.
MELAS sindromui nustatyti gali būti naudojami šie tyrimai:
- Genetiniai tyrimai
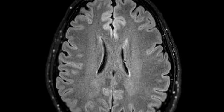
- Vaizdiniai tyrimai, pavyzdžiui, magnetinio rezonanso tomografija (MRT)
- Smegenų skysčio, šlapimo bei kraujo mėginiai
- Raumens biopsija, jeigu jos reikia
Kaip gydomas MELAS sindromas?
Nors šiuo metu MELAS sindromui visiškai išgydyti priemonių nėra, šios ligos simptomai gali būti kontroliuojami. Gydymas pritaikomas individualiai, siekiant sumažinti ligos poveikį kasdieniam gyvenimui.
Vaistai ir gydymo būdai
- Vaistai nuo traukulių (išskyrus valproatą, jo reikėtų vengti)
- Kofermentas Q10 ar L-karnitinas – šios medžiagos gali pagerinti mitochondrijų funkciją ir sulėtinti ligos eigą
- L-argininas ar L-citrulinas – galintys sumažinti insultą primenančių epizodų dažnumą
- Insulinas ar metforminas, kai gydomas cukrinis diabetas
- Būtinos vaikystės vakcinos, taip pat metinės gripo, plaučių uždegimo ir COVID-19 vakcinos
Kartu gali būti siūlomas specialus fizinis aktyvumo planas raumenų stiprinimui, taip pat – ausų implantai, padedantys kovoti su klausos sutrikimais.
Prevencija
MELAS sindromo išvengti neįmanoma. Šeimoms, kurios susiduria su šia paveldima liga, gali būti naudinga pasikonsultuoti su genetiku ar genetiniu konsultantu.
Gyvenimas su MELAS sindromu
Kadangi išgydyti MELAS sindromo kol kas nepavyksta, šią būklę sergantįjį lydi visą gyvenimą. Liga gali paveikti labai skirtingai, tad kiekvienas atvejis unikalus net ir šeimos nariams, todėl gydymas ir prognozė kiekvienam asmeniui skiriasi.
Greičiausiai teks bendradarbiauti su įvairių sričių specialistais – socialiniais darbuotojais, kineziterapeutais, ergoterapeutais. Žmonėms ir jų artimiesiems gali būti labai naudinga įsijungti į palaikymo grupę.
Nėra aiškaus atsakymo, kokia yra MELAS sindromu sergančiųjų gyvenimo trukmė – ligos eiga, simptomų sunkumas ir atsakas į gydymą kiekvienam labai skirtingas. Kai kuriais atvejais ši liga gali lemti mirtį.
Kasdienė priežiūra sergant MELAS sindromu
Reikėtų vykdyti gydytojų nurodymus ir reguliariai lankytis pas specialistus – dažniausiai bent kartą per metus. Taip pat kasmet turi būti stebima širdies, klausos, regos būklė bei cukraus kiekis kraujyje.
Venkite alkoholio vartojimo ir rūkymo, nes jie žaloja mitochondrijas. Nepamirškite kasmetinių gripo, plaučių uždegimo bei kitų rekomenduojamų skiepų.
Kreipkitės į savo gydytoją, jei iškyla klausimų apie mitybą, gydymą, planuojamus klinikinius tyrimus ar genetinę konsultaciją. Su gydytoju aptarkite ir atvejus, kuomet reikėtų nedelsiant kreiptis pagalbos, bei galimybes dalyvauti palaikymo grupėse kartu su šeima.












