Metachromatinė leukodistrofija (MLD) yra reta paveldima liga, kurios metu pažeidžiama centrinės (smegenų ir nugaros smegenų) bei periferinės nervų sistemos baltoji medžiaga. Šis sutrikimas priskiriamas prie lizosominių kaupimo ligų, kurioms būdingas tam tikrų medžiagų kaupimasis organizmo ląstelėse.
- 1.Kas vyksta sergant metachromatine leukodistrofija
- 2.Pagrindinės metachromatinės leukodistrofijos formos
- 3.Kiek dažna ši liga?
- 4.MLD simptomai
- 5.Ligos priežastys ir paveldimumas
- 6.Galimos komplikacijos
- 7.MLD diagnozavimas
- 8.Gydymo galimybės
- 9.Ar įmanoma apsisaugoti nuo šios ligos?
- 10.MLD prognozė ir gyvenimo trukmė
- 11.Kasdienybė su MLD: kaip pasirūpinti savimi ar vaiku
Kas vyksta sergant metachromatine leukodistrofija
Lygoniams, sergantiems MLD, dėl neskaidomų sulfatidų jų ląstelėse pradeda kauptis riebalinės medžiagos. Jos stabdo mielino – apsauginio sluoksnio aplink nervines skaidulas – formavimąsi. Mielinas suteikia baltojoje medžiagoje būdingą spalvą ir yra gyvybiškai svarbus, kad nervai galėtų perduoti signalus. Kai mielino mažėja, ima blogėti tiek mąstymas, tiek judesių koordinacija.
Ligos pavadinimas atspindi tai, kad mikroskopu stebint ląsteles, kuriose susikaupė sulfatidai, jos nusidažo kitaip nei aplinkinė medžiaga. Terminas „leukodistrofija“ nusako pažengusį baltosios medžiagos irimą, nes „leuko“ reiškia „balta“, o „distrofija“ – „nykimas“ arba „irimas“.
MLD simptomai laikui bėgant progresuoja, o diagnozavus gyvybė gali trukti tik kelerius metus, priklausomai nuo ligos formos.
Pagrindinės metachromatinės leukodistrofijos formos
- Vėlyvoji kūdikių forma: Paprastai išryškėja tarp 12 ir 20 gyvenimo mėnesių. Pasireiškia vaikščiojimo sunkumais, vystymosi atsilikimu, regėjimo praradimu ir demencija. Daugeliu atvejų vaikai miršta nesulaukę 5 metų amžiaus. Ši forma sudaro apie pusę visų MLD atvejų.
- Vaikų (jaunatvinė) forma: Paplitusi tarp 3–10 metų amžiaus vaikų. Dažnai stebimas intelekto mažėjimas, elgesio pokyčiai, traukuliai, demencija. Neretai ligoniai miršta po 10–20 metų nuo diagnozės. Ši forma sudaro apie ketvirtadalį visų atvejų.
- Suaugusiųjų forma: Dažniausiai prasideda po 16 metų. Būdingi psichikos sutrikimai, traukuliai, demencija. Gyvenimo trukmė po diagnozės – apie 6–14 metų. Suaugusiųjų forma sudaro iki penktadalio visų atvejų.
Kiek dažna ši liga?
Metachromatinė leukodistrofija yra itin reta – skaičiuojama, kad jos pasitaiko apytikriai vienam žmogui iš 40 000. Vis tik tam tikrose uždarose bendruomenėse ligos dažnis gali būti didesnis.
MLD simptomai
Ligos požymiai priklauso nuo amžiaus, kada ji pradeda reikštis, tačiau visais atvejais progresuoja neurologinių funkcijų praradimas: blogėja judesiai, silpnėja protinė veikla, kinta nuotaika ir asmenybė.
Kūdikių formos simptomai
- Pirmus gyvenimo mėnesius vaikas gali vystytis normaliai, bet vėliau ima blogėti vaikščiojimas, galiausiai judėti tampa nebeįmanoma.
- Raumenų tonuso silpnėjimas.
- Vystymosi atsilikimas.
- Sunkumai kalbant.
- Palaipsnis regos blogėjimas, galiausiai aklumas.
- Rijimo sunkumai.
- Demencija.
Vaikų formos simptomai
- Intelekto silpnėjimas, pablogėjusi mokymosi pažanga.
- Elgesio sutrikimai.
- Asmenybės pokyčiai.
- Judesių koordinacijos praradimas.
- Galūnių dilgčiojimas ir silpnumas.
- Traukuliai.
- Demencija.
Suaugusiųjų formos simptomai
- Pirmiausia išryškėja psichikos sutrikimai – gali atsirasti haliucinacijų, psichozės požymių, būdingas elgesio pokyčiai.
- Traukuliai.
- Rankų ar kojų tirpimas, raumenų silpnumas.
- Demencija.
Suaugusiųjų ligos atveju dažnai ji painiojama su kitomis lėtinėmis psichikos ar neurologinėmis ligomis.
Ligos priežastys ir paveldimumas
MLD atsiranda dėl tam tikrų genų mutacijų, paveldimų iš abiejų biologinių tėvų. Dauguma atvejų susiję su ARSA geno pokyčiais, atsakingais už fermento arilsulfatazės A gamybą. Šis fermentas skaido sulfatidus, tačiau dėl geno mutacijos jo gaminama nepakankamai, ir sulfatidai kaupiasi nervų sistemoje, toksiškai veikdami baltąją medžiagą.
Kai kuriais atvejais MLD atsiranda dėl PSAP geno pokyčių. Šis genas taip pat dalyvauja sulfatidų skaidyme.
Paveldimumo tipas
Liga paveldima autosominiu recesyviniu būdu. Tėvai gali turėti tik po vieną pažeistą geno kopiją ir patys nesirgti (jie būna ligos nešiotojai). Ligonis paveldi po defektinį geną iš abiejų tėvų.
Galimos komplikacijos
- Greitai progresuojanti demencija.
- Regos praradimas dėl regos nervo atrofijos.
- Mitybos sutrikimai.
- Pneumonija dėl maisto ar skysčių aspiracijos.
- Ligos baigtis dažnai – mirtis.
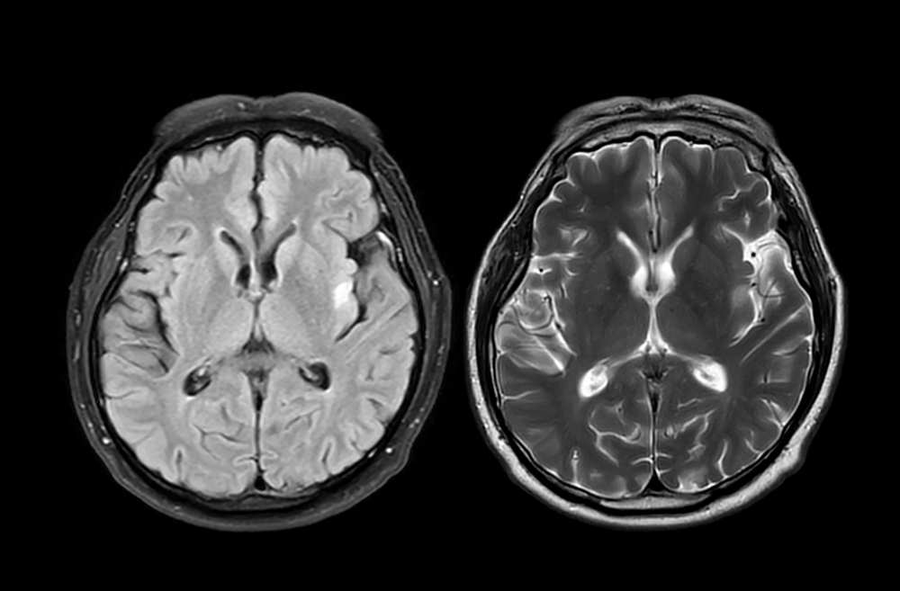
MLD diagnozavimas
Jeigu kyla įtarimas dėl šios ligos, dažniausiai atliekami keli tyrimai:
- Genetiniai tyrimai leidžia nustatyti ARSA ar PSAP genų mutacijas.
- Biocheminiai tyrimai – matuojama sulfatidų koncentracija šlapime ar kraujyje, bei fermento aktyvumas.
- Smegenų magnetinio rezonanso tomografija (MRT) padeda įvertinti mielino netekimo židinius, būdingus MLD.
Gavus šią diagnozę, dažnai prireikia papildomai ištirti nervų sistemos pažeidimus naudojant neurokognityvinius, neuropsichologinius bei nervų laidumo tyrimus.
Gydymo galimybės
Šiai genetinei ligai medikamentinio išgydymo galimybės dar nėra. Todėl gydymas sutelktas į simptomų kontrolę ir gyvenimo kokybės gerinimą. Kai kurie gydytojai ankstyvoje stadijoje (ypač vaikams, kurie dar nejaučia ar vos jaučia pirmuosius simptomus) gali rekomenduoti kamieninių ląstelių transplantacijas, kurios gali lėtinti ligos eigą.
- Traukulius galima valdyti vaistais prieš traukulius.
- Raumenų spazmams mažinti taikomi raumenis atpalaiduojantys vaistai.
- Nuotaikos sutrikimams (depresijai, nerimui) skiriami antidepresantai.
- Skausmui mažinti gali būti naudojami nesteroidiniai vaistai nuo uždegimo ar kitos priemonės.
- Kineziterapija padeda išlaikyti raumenų stiprumą ir mobilumą.
- Ergoterapija lavina kasdienius įgūdžius.
- Logopedo konsultacijos svarbios, kai iškyla kalbėjimo ar rijimo sunkumų.
- Psichologinė terapija gali būti naudinga emociniam prisitaikymui.
- Maitinimo sunkumų atveju gali būti reikalingas maitinimas per zondą į skrandį.
Paliatyvioji pagalba padeda sumažinti simptomus, užtikrina komfortą ir palaikymą sergantiesiems bei jų artimiesiems. Ji gali būti naudinga tiek patiems ligoniams, tiek jų globėjams – siekiant išlaikyti gyvenimo kokybę ir gauti emocinę, socialinę bei medicininę paramą.
Ar įmanoma apsisaugoti nuo šios ligos?
MLD yra genetiškai paveldima, todėl nė viena prevencinė priemonė negali visiškai apsaugoti nuo šio sutrikimo. Jei šeimoje jau buvo MLD atvejų, prieš planuojant vaikus aptariama genetinė konsultacija – tai leidžia nustatyti, ar žmogus yra ligos nešiotojas.
MLD prognozė ir gyvenimo trukmė
Šios ligos eiga visada sunki ir progresuojanti – laikui bėgant sutrinka tiek judesiai, tiek protinė funkcija. Galiausiai žmogus praranda visas pagrindines kūno ir psichines funkcijas, todėl baigtis dažnai neišvengiama. Gyvenimo trukmė priklauso nuo ligos formos ir pirmųjų simptomų amžiaus.
- Kūdikių forma – mirtis dažniausiai ištinka per penkerius–šešerius metus nuo pirmųjų simptomų atsiradimo.
- Vaikų forma – ligos eiga lėtesnė, mirtis paprastai po 10–20 metų nuo pradžios.
- Suaugusiųjų forma – gyvenimo trukmė sutrumpėja dažniausiai iki 6–14 metų nuo diagnozės.
Kasdienybė su MLD: kaip pasirūpinti savimi ar vaiku
Gyvenant su šia liga, svarbiausia – aktyvus dalyvavimas sprendimuose dėl gydymo, tačiau ne mažiau svarbus ir emocinis palaikymas. Daugelis šeimų renkasi prisijungti prie palaikymo grupių, kur galima pasidalyti patirtimi su kitais, gyvenančiais su šiuo iššūkiu.
Reguliarios konsultacijos su gydytojų komanda – būtinos, kad būtų galima sekti ligos eigą ir laiku pakeisti gydymo planą pagal kintančius poreikius.












