Galvos veninių ančiu trombozė – tai retas sveikatos sutrikimas, kai didesnėje smegenų venoje susiformuoja krešulys. Šis krešulys užkemša galvos kraujagyslę, dėl to sutrinka kraujotaka ir kyla spaudimas smegenyse. Tokia būklė sudaro apie 1 % visų insulto atvejų.
Kas dažniausiai serga šia liga?
Galvos veninių ančiu trombozė dažniau nustatoma moterims. Nors daugiausia atvejų fiksuojama 40–50 metų žmonėms, ši liga gali pasireikšti ir jauniems asmenims ar net kūdikiams.
Didesnė rizika susirgti iškyla tiems, kurie turi tam tikrų ligų ar būklių. Tarp jų:
- Nefrozinis sindromas
- Vėžys
- Vaskulitas
- Sarkoidozė
- Nutukimas
- Kepenų ligos
- Trombozės polinkis (trombofilija)
- Infekcijos, įskaitant kai kurias virusines ligas
Kaip dažnai nustatoma ši būklė?
Ši trombozės rūšis laikoma labai reta. Manoma, kad kasmet ja suserga nuo 2 iki 15 iš 1 milijono žmonių, tarp jų kasmet diagnozuojama ir apie 7 vaikams arba kūdikiams iš milijono.
Kaip ši trombozė veikia organizmą?
Kai veninis krešulys užblokuoja kraujotaką smegenyse, smegenyse kaupiasi skysčiai, didėja spaudimas, gali atsirasti smegenų tinimas.
Pagrindinės venų, kuriose gali susidaryti krešuliai:
- Skersinis ančis
- Viršutinis ir apatinis strėliniai ančiai
- S formos ančiai
- Uolinis ančis
- Kai kurios giluminės žievės venos
Galimos rimtos komplikacijos, įskaitant regos sutrikimus, kraujo išsiliejimą į smegenis, stiprius galvos skausmus, priepuolius ar net insultą.
Simptomai
Simptomai dažnai priklauso nuo to, kokioje vietoje ir kokio dydžio yra krešulys. Jie gali pasireikšti iš lėto arba staiga. Tarp pagrindinių požymių:
- Nuolat stiprėjantis galvos skausmas (tai dažniausias simptomas)
- Traukuliai
- Sutrikusi sąmonė ar neurologiniai deficitas, ypač įvykus dideliam galvos smegenų kraujavimui
Priežastys
Šis sveikatos sutrikimas gali išsivystyti dėl įvairių veiksnių. Riziką padidina:
- Nėštumas
- Hormoninių kontraceptikų (pvz., tablečių) vartojimas
- Patirti sužalojimai, traumos
- Įgimti arba įgyti kraujo krešėjimo sutrikimai (trombofilija)
- Infekcijos, ypač sunkaus virusinio pobūdžio
Retais atvejais ši trombozė buvo užfiksuota po tam tikrų vakcinų susirgus virusu.
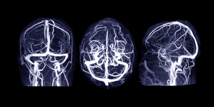
Diagnozavimas ir tyrimai
Norint patikimai nustatyti galvos veninių ančiu trombozę, būtina atlikti smegenų tyrimus vaizdinimo metodais.
Pagrindiniai diagnostiniai tyrimai:
- Smegenų magnetinio rezonanso tomografija (MRT) su kontrastu
- Kompiuterinė smegenų tomografija (KT) su kontrastu
- Venografija (MRV arba KT venografija), smegenų angiografija
Kartais atliekami ir kraujo tyrimai, pavyzdžiui, specialus krešėjimo sutrikimų tyrimų rinkinys.
Gydymo būdai
Ši būklė gydoma kompleksiškai, priklausomai nuo jos priežasties ir sunkumo. Gydymo priemonės yra šios:
- Antikoaguliantai (vaistai, skystinantys kraują, pavyzdžiui, heparinas, įskaitant nėštumo metu)
- Tromboliziniai vaistai (ištirpdantys krešulius)
- Antibiotikai, jei gedimą sukėlė infekcija
- Didesnių krešulių pašalinimas chirurginiu būdu (trombektomija)
- Spaudimą smegenyse mažinantys vaistai (pvz., acetazolamidas) ar medicininės procedūros
- Vaistai nuo epilepsijos, jei pasireiškė traukuliai
Antikoaguliantai, tokie kaip varfarinas ar naujesni tiesioginio poveikio vaistai (pvz., rivaroksabanas, apiksabanas, dabigatranas), gali būti reikalingi nuo trijų mėnesių iki metų. Jei nustatytas įgimtas polinkis į trombozę, kartais tokius vaistus tenka vartoti nuolat.
Gydymo eiga ir savijauta
Svarbu užtikrinti tinkamą antikoaguliantų dozę. Dėl to reguliariai atliekami kraujo tyrimai, siekiant išvengti per didelės kraujo skystinimo rizikos, kuri gali padidinti kraujavimo tikimybę.
Heparinas pradeda veikti beveik iš karto po intraveninės ar injekcinės dozės. Varfarino poveikio pradžiai reikia šiek tiek laiko – apie savaitę, todėl gydymas dažnai pradedamas heparinu, o pradėjus veikti varfarinui toliau tęsiama tik su juo. Naujieji tiesioginio poveikio antikoaguliantai kraują skystina per keletą valandų. Kai trombas pradeda tirpti ir mažėja spaudimas smegenyse, žmogus dažniausiai greitai pradeda jaustis geriau.
Profilaktika
Turint trombozės riziką, pavyzdžiui, nėštumo metu ar po ligos, gydytojas gali rekomenduoti profilaktiškai vartoti antikoaguliantus. Tai sumažina tikimybę, kad trombozė vėl pasikartos.
Kontraceptinių tablečių nevartojimas taip pat gali sumažinti šios būklės riziką. Vietoje jų galima rinktis tik progesteroną turinčias apsaugos priemones. Taip pat verta atsisakyti rūkymo, ypač vartojant hormoninius kontraceptikus – šių veiksnių derinys dar labiau padidina trombozės riziką.
Ligos eiga ir prognozė
Anksčiau galvos veninių ančiu trombozė buvo pavojinga gyvybei – išgyvendavo tik pusė pacientų. Dėl geresnių tyrimo ir gydymo galimybių šiuo metu mirštamumas siekia vos kelis procentus, dažniausiai mažiau nei 5–10 % atvejų.
Vis dėlto liga gali kartotis, todėl gydytojai rekomenduoja ilgą laiką vartoti antikoaguliantus.
Šios būklės trukmė gali būti įvairi. Ji skirstoma į:
- Akutinę – iki 48 valandų
- Povėlinę (subakutinę) – nuo 48 val. iki 30 dienų (tai dažniausia forma)
- Lėtinę – daugiau nei mėnesį trunkanti ligos eiga
Kuo anksčiau nustatoma ir gydoma trombozė, tuo geresnė prognozė. Negydant gresia sunkios komplikacijos.
Gyvenimas su šia diagnoze
Patyrus veninių ančiu trombozę, būtina profilaktiškai vartoti antikoaguliantus, kad būtų išvengta naujų krešulių. Šie vaistai mažina pavojų, tačiau gali didinti kraujavimo iš kasdienių įbrėžimų ar pjūvių tikimybę. Norint apsisaugoti, verta atsisakyti aštrių peilių ar pasirinkti elektrinį skustuvą.
Konsultacijos su gydytoju būtinos viso gydymo metu – dažniausiai kas kelis mėnesius. Jei praleidote varfarino dozę ar pasireiškė netikėti simptomai, svarbu pasitarti su gydytoju.
Praėjus trims–šešiems mėnesiams po trombozės, gydytojai dažnai rekomenduoja atlikti pakartotinius smegenų kraujotakos tyrimus (CT ar MRT su kontrastu), kad įvertintų gydymo sėkmę ir kraujagyslių būklę.
Kreiptis į gydytoją reikėtų, jei
- Nepavyksta sustabdyti kraujavimo
- Atsirado labai stiprus galvos skausmas
- Pastebėjote ryškiai raudoną kraują kosint, vemiant ar tuštinantis
Klausimai, kuriuos verta aptarti su gydytoju:
- Kokia buvo mano ligos priežastis?
- Kiek laiko rekomenduojama tęsti gydymą?
- Kokia tikimybė, kad ši liga gali pasikartoti?













