Klippel-Feil sindromas – tai itin retas apsigimimas, kai keletas kaklo slankstelių yra sulipę tarpusavyje, tarsi sudarydami vieną kaulo struktūrą. Dažniausiai ši patologija apima antrąjį ir trečiąjį kaklo slankstelius, tačiau juosmens ar krūtinės segmentai taip pat gali būti paveikti. Normaliai slankstelius skiria diskai ir kremzlės, leidžiančios judėti, tačiau sergant šiuo sindromu, kai kurie kaklo slanksteliai tiesiogiai suauga ir nebejudami.
Kas yra Klippel-Feil sindromas?
Klippel-Feil sindromas (KFS) – tai įgimta būklė, kai žmogus jau gimsta su sulipusiais kaklo slanksteliais. Šis sindromas pavadintas jį atradusių gydytojų garbei. Dažniausiai iš karto matyti trys pagrindiniai šio sindromo požymiai: ribotas kaklo judrumas, neproporcingai trumpas kaklas bei žema plaukų linija pakaušyje. Visgi ne visiems pacientams pasireiškia visi šie bruožai – kai kurie turi tik vieną, kitais atvejais sindromas apskritai gali būti nepastebimas pirmosiomis gyvenimo savaitėmis ar net metais.
KFS gali būti ne tik grynai stuburo problema – ši diagnozė gali paveikti ir kitus organus: širdį, plaučius, inkstus, burną, akis, ausis, raumenis ir nervus, o taip pat stuburo smegenis.
Kiek paplitęs Klippel-Feil sindromas?
Pasauliniu mastu šis sindromas diagnozuojamas maždaug vienam iš 40 000–42 000 naujagimių. Šiek tiek dažniau serga mergaitės nei berniukai.
Kaip atpažinti Klippel-Feil sindromą?
Sunkesniais atvejais sindromas gali būti matomas net ir atlikus ultragarso tyrimą nėštumo pradžioje. Jeigu vaisius ar naujagimis neturi akivaizdžių požymių, būna atvejų, kai sindromas nustatomas vėliau – vaikystės ar net paauglystės laikotarpiu. Vis dėlto taip nutinka retai, kadangi šiai būklei būdingi daugybė galimų simptomų bei pakitimų.
Sindromo simptomai
Kai kurie žmonės su Klippel-Feil sindromu nejaučia jokių simptomų, tačiau dažniausiai visgi pasireiškia įvairaus stiprumo nusiskundimai. Kiekvieno žmogaus savijauta ir pojūčiai labai skirtingi.
- Kaklo judesių ribotumas – dažniausiai pasitaikantis fizinis požymis dėl susijungusių slankstelių
- Trumpas kaklas
- Žema plaukų linija pakaušio srityje
- Veido asimetrija
- Kaklo pagrindo nestabilumas, kur kaklas jungiasi su kaukole – tai ypač pavojinga patyrus traumą
- Stuburo iškrypimas (skoliozė) nustatomas 30–50 % atvejų
- Galvos skausmai
- Klausos problemos arba kurtumas (apie 30 % žmonių)
- Judėjimo apribojimai nugaros viršutinėje dalyje
- Plintantis nervinis skausmas į rankas arba kojas
- Raumenų skausmai kaklo ar nugaros srityje
- Nervų pažeidimas kakle arba nugaros dalyje
- Stuburo kanalo susiaurėjimas (stenozė), galintis pakenkti stuburo smegenims
- Inkstų ligos (aptinkamos apie 30 % atvejų)
Galimi ir papildomi susirgimai arba vystymosi anomalijos – klausos sutrikimai, kiškio lūpa ar gomurio pakitimai, netipinė širdies ar plaučių, inkstų, šonkaulių, rankų ar kojų raida. Kai kuriems pacientams silpnesni raiščiai ties viršutine stuburo dalimi gali sukelti nugaros smegenų užspaudimo grėsmę esant netipiniam judesiui.
Klippel-Feil sindromo priežastys
Dar nėra iki galo aišku, kodėl atsiranda Klippel-Feil sindromas. Manoma, kad dauguma atvejų nesusiję su paveldimumu ar genetika, o vyksta spontaniškai. Kai kuriems pacientams nustatomi tam tikrų genų, atsakingų už kaulų bei stuburo vystymąsi, pokyčiai.
Sindromas kartais pasitaiko kartu su kitomis įgimtomis ligomis – būna šių ligų pasekmė, kai genetiniai pakitimai lemia KFS išsivystymą. Priklausomai nuo atvejo, Klippel-Feil sindromas gali būti susijęs su:
- Vaisiaus alkoholiniu sindromu (centrinės nervų sistemos raidos sutrikimai dėl alkoholio poveikio nėštumo metu)
- Goldenhar sindromu (akies, ausies ir stuburo vystymosi ydos)
- Sprengel deformacija (netipinė mentės raida)
- Duane sindromu (nenormali akių judesių raida)
- Vieno ar abiejų inkstų nebuvimu
- Wildervanck sindromu (akių, ausų ir kaklo slankstelių raidos pažeidimai)
- Kitomis centrinės nervų sistemos vystymosi anomalijomis, pvz., Chiari malformacija, spina bifida, syringomielija
Paveldimumas
Dažniausiai Klippel-Feil sindromas nepaveldimas iš tėvų. Visgi kai kuriais atvejais nustatomos konkrečių genų mutacijos, kurios gali būti perduodamos vaikui.
Diagnozavimas ir tyrimai
Klippel-Feil sindromas dažniausiai diagnozuojamas vaikystėje, kartais – net kūdikio vystymosi metu dar prieš gimimą. Gydytojas įtaria šią būklę, jeigu pastebi atitinkamų požymių arba atsižvelgia į paciento skundus ir šeimos ligų istoriją.
Apžiūros metu gydytojas stebi veido ir kaklo proporcijas, patikrina, ar nėra nervų sistemos pažeidimo požymių (radikulopatijos ar mielopatijos), išbando refleksus, įvertina eiseną, taip pat apčiuopia krūtinę ir pilvą.
Tyrimai
Nėra specifinio laboratorinio tyrimo, kuris patvirtintų šią ligą, bet, jei simptomų daug, gydytojas gali paskirti testų, kad būtų atmestos kitos ligos. Dažnai tikrinama širdies, inkstų, virškinimo ir šlapimo sistemos būklė, atliekami klausos tyrimai ar netgi siūloma genetinė analizė.
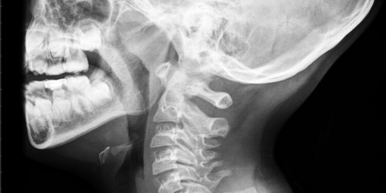
- Rentgeno nuotraukos padeda atskleisti sulipusius slankstelius, stuburo kreivumą ar kitus pakitimus
- Kartais prireikia kompiuterinės tomografijos (KT), jei reikia tikslesnės informacijos apie slankstelių struktūrą
- Magnetinio rezonanso tomografija (MRT) leidžia įvertinti minkštuosius audinius, diskus, nervų šakneles ir stuburo smegenis, padeda nustatyti ir kitus vidaus organų pokyčius
Gydymo galimybės
Pasirenkamas gydymas priklauso nuo to, kokie simptomai pasireiškia žmogui. Dažniausiai pakanka konservatyvių priemonių: vaistų nuo skausmo ar uždegimo, kineziterapijos, kaklo įtvarų ar ortopedinių priemonių.
Daugeliui pacientų operacijos neprireikia, tačiau ja pasinaudojama jei yra nervų sistemos pažeidimų, stuburo nestabilumo ar deformacijų, naujai atsiradusio rankų ar kojų silpnumo, taip pat – esant kitų vidaus organų pakitimams.
Pacientams, kuriems slanksteliai sulipę žemiau C3 (toliau nuo kaukolės), dažniausiai pakanka stebėsenos ir rekomendacijų dėl fizinio aktyvumo. Tokie vaikai ar suaugusieji, laikydamiesi gydytojo nurodymų, gali užsiimti net kontaktiniu sportu – svarbu tik tinkamai saugoti kaklą dėl galimų traumų.
Tuo metu slankstelių sulipimas virš C3 (arčiau galvos) yra pavojingesnis dėl didesnės stuburo traumų rizikos, todėl kontaktinis sportas tokiais atvejais nerekomenduojamas.
Reguliarūs vizitai pas gydytojus, Vidaus organų – širdies, plaučių, reprodukcinės, inkstų sistema patikros padeda anksti nustatyti ir pradėti gydyti papildomas problemas ar laiku atlikti reikalingas operacijas.
Ligos eiga ir prognozė
Klippel-Feil sindromas gali laikui bėgant progresuoti. Kuomet stuburas nėra normalios struktūros, bėgant metams gali vystytis degeneraciniai pokyčiai: stuburo diskų susidėvėjimas, spaudžiamas nervas, nugaros ar kaklo skausmai, galbūt – rankų ar kojų silpnumas. Taip pat didėja rizika patirti traumų įvairių nelaimių ar kritimų metu. Kiti vidaus organų sutrikimai gali formuotis laikui bėgant. Dėl šios priežasties būtina reguliariai lankytis pas gydytojus bei atlikti numatytus tyrimus.
Ankstyva sindromo diagnozė leidžia laiku pradėti gydymą ar stebėseną. Tinkamai gydant ir laikantis nurodymų dėl stuburo apsaugos pavojingose situacijose, gyvenimo trukmė dažniausiai būna normali.
Kas rūpinasi Klippel-Feil sindromu sergančiu žmogumi?
Sergančiojo priežiūrą dažnai užtikrina visa specialistų komanda, kurią gali sudaryti bendrosios praktikos gydytojas, vaikų ar vidaus ligų gydytojas, neurologas, neurochirurgas, ortopedas-traumatologas, burnos ir žandikaulių chirurgas, kardiologas, gastroenterologas, nefrologas, ausų, nosies, gerklės gydytojas, klausos specialistas, skausmo gydymo bei kineziterapijos specialistai.













