Pemfigus foliaceus – tai reta autoimuninė liga, kurią lemia odos pūslių ir žaizdelių susidarymas. Dažniausiai tokios pūslelės ir skausmingos žaizdos ima rastis galvos odoje, veide, kakle, nugaroje.
- 1.Kas yra pemfigus foliaceus?
- 2.Kam gali išsivystyti ši liga?
- 3.Kaip dažnai pasitaiko pemfigus foliaceus?
- 4.Kaip pemfigus foliaceus paveikia organizmą?
- 5.Ligos simptomai
- 6.Kokios galimos ligos priežastys?
- 7.Diagnozė ir tyrimai
- 8.Gydymas ir priežiūra
- 9.Prevencija
- 10.Prognozė
- 11.Kasdienis gyvenimas
- 12.Pemfigus foliaceus ir pemfigus vulgaris skirtumai
Kas yra pemfigus foliaceus?
Pemfigus foliaceus priskiriamas prie pemfiguso ligų grupės – tai ligos, kurioms būdingas pūslėtas bėrimas. Sergant šia liga, imuninė sistema ima gaminti baltymus (antikūnus), kurie klaidingai atakuoja sveikas odos ląsteles, lyg jos būtų svetimi organizmai. Dėl to odoje susidaro pūslelės, kurios greitai trūksta ir palieka žaizdas su pleiskanojančiu, šašais pasidengusiu paviršiumi.
Kam gali išsivystyti ši liga?
Pemfigus foliaceus dažniausiai diagnozuojamas 50–60 metų amžiaus žmonėms, tačiau liga gali pasitaikyti bet kokiame amžiuje, net vaikams. Kai kuriose pasaulio vietose, ypač Pietų Amerikoje, paplitusi ligos atmaina vadinama „fogo selvagem“ ir manoma, kad ją gali išprovokuoti tam tikri aplinkos veiksniai arba vietiniai vabzdžiai.
Kaip dažnai pasitaiko pemfigus foliaceus?
Ši liga yra labai reta. Apskaičiuota, kad pemfigusu kasmet suserga vos 1–5 iš milijono žmonių įvairiose pasaulio šalyse. Pemfigus foliaceus sudaro mažą visų atvejų dalį.
Kaip pemfigus foliaceus paveikia organizmą?
Sergant šia liga odos paviršiuje formuojasi pūslelės, kurios yra jautrios ir trapi, todėl dažnai pratrūksta. Vietoj jų atsiranda žaizdelės, padengtos sausais šašais arba pleiskanomis. Toks odos pažeidimas dažnai sukelia niežulį, perštėjimą, deginimą ar skausmą.
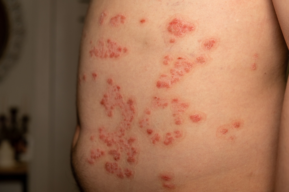
Ligos simptomai
Pemfigus foliaceus simptomai
- Pūslelės arba smulkūs, raudoni, skysčiu užpildyti iškilimai viršutiniame odos sluoksnyje, dažnai išplitę didesniuose kūno plotuose.
- Pūslelės lengvai pratrūksta ir virtsta žaizdelėmis, kurios tampa pleiskanojančios, pasidengia šašais.
- Niekada nepažeidžia gleivinės – lūpų, burnos, nosies ar lyties organų paviršiaus.
- Pažeista oda niežti, skauda, gali perštėti arba demonstruoti deginimo jausmą.
Kur odoje atsiranda simptomai?
- Galvos oda
- Veidas
- Kaklas
- Nugara
- Krūtinė
Ši liga neapima kūno gleivinių, todėl tokios sritys kaip burna išlieka nepaveiktos.
Kokios galimos ligos priežastys?
Pemfigus foliaceus gali sukelti keli veiksniai: genetika, imuninės sistemos ypatumai ir kai kurios aplinkos sąlygos. Nors ši liga nėra paveldima tiesiogiai, kai kuriems žmonėms ją lemia specifinių žmogaus leukocitų antigenų (HLA) genetinis tipas, kuris lemia imuninės sistemos jautrumą saviems baltymams. Ligos esmė – sutrikusi organizmo „apsauga“, kai imuninė sistema pradeda naikinti jungtis tarp odos paviršiaus ląstelių, sukeldama būdingus odos pokyčius.
Kas gali sukelti ligos paūmėjimą?
- Tam tikri vaistai – ypač nesteroidiniai vaistai nuo uždegimo, penicilaminas, nifedipinas, kaptoprilis, enalaprilis gali provokuoti simptomų atsiradimą arba paūmėjimą.
- Vabzdžių įkandimai – Pietų Amerikoje nustatyta, kad specifinės ligos formos kyla dėl vabzdžių įgėlimo.
- Saulės spinduliai – oda, veikiama ultravioletinių spindulių, gali reaguoti pablogėjimu.
Pemfigus foliaceus nėra užkrečiamas – liga neperduodama kontaktuojant su sergančiu asmeniu.
Diagnozė ir tyrimai
Kaip nustatoma liga?
Diagnozuojant pemfigus foliaceus, gydytojas įvertina jūsų ligos simptomus, apžiūri odos pažeidimus, taip pat atlieka papildomus tyrimus. Svarbiausi pagalbiniai metodai – odos biopsija ir kraujo tyrimai.
Kokie tyrimai atliekami?
- Odos biopsija – nedidelis odos gabalėlis paimamas ir tiriamas mikroskopu, dažnai taikomas imunofluorescencinis tyrimas.
- Kraujo tyrimas – leidžia nustatyti specifinius antikūnus, kurie sukelia šios ligos simptomus.
Gydymas ir priežiūra
Kaip gydomas pemfigus foliaceus?
- Nutraukiami arba keičiami vaistai, kurie galėjo provokuoti simptomus.
- Taikomi kortikosteroidai – tiek vietiniai tepalai, tiek geriami vaistai; gali būti skiriami ir kalcineurino inhibitoriai vietiniam vartojimui.
- Kartais reikalingi imuninę sistemą slopinantys vaistai, tokie kaip rituksimabas, metotreksatas, mikofenolatas ar azatioprinas.
Kaip greitai pradeda veikti gydymas?
Kiekvienas žmogus reaguoja individualiai. Paprastai po poros savaičių naujos pūslelės nebebesusidaro, o esamų žaizdelių gijimas užtrunka keletą savaičių. Tačiau liga gali kartotis ar paūmėti vėliau, nes tai lėtinė būklė.
Prevencija
Kaip sumažinti riziką susirgti arba išvengti paūmėjimo?
- Saugoti odą nuo saulės spindulių – dėvėti apsauginius drabužius, naudoti kremus nuo saulės.
- Aptarti su gydytoju vartojamus vaistus, įsitikinti, kad jie nesukelia ligos simptomų.
- Apsaugoti save nuo vabzdžių įkandimų – naudoti repelentus, tinklelius langams, dėvėti ilgarankovius drabužius vietovėse, kur ši liga dažnesnė.
- Rinktis švelnius, bekvapius higienos produktus – jie mažiau dirgina odą.
Prognozė
Ko tikėtis susirgus pemfigus foliaceus?
Šiai ligai nėra visiškai išgydančių vaistų, tačiau ji dažniausiai nesutrumpina gyvenimo trukmės. Simptomai – pūslelės ir žaizdelės – gydomi efektyviai ir nepalieka randų, nebent oda yra dažnai traumuojama ar kasoma.
Kasdienis gyvenimas
Kada verta kreiptis į gydytoją?
- Atsiradus pūslelėms ar žaizdelėms, kurios sunkiai gyja.
- Pažeidimams, išplitusiems didelėje kūno dalyje.
- Jei žaizdos ima tinti, iš jų sunkiasi gelsvas ar balkšvas skystis, susidaro geltonos spalvos šašai.
- Pajutus karščiavimą, šaltkrėtį, raumenų skausmus.
Klausimai, kuriuos verta užduoti gydytojui
- Kokia gydymo taktika jūsų nuomone tinkamiausia?
- Kokie gali būti skiriamo gydymo šalutiniai poveikiai?
- Koks yra tikėtinas mano simptomų sukėlėjas?
- Kaip ir kiek dažnai tepti/purkšti gydymo priemones paveiktose vietose?
Pemfigus foliaceus ir pemfigus vulgaris skirtumai
Pemfigus foliaceus ir pemfigus vulgaris – susijusios ligos, tačiau jas galima atskirti pagal simptomus. Pemfigus vulgaris pažeidžia ne tik odą, bet ir kūno gleivines – burnos, ryklės, lyties organų paviršius. Tuo tarpu pemfigus foliaceus paveikia tik odą, jo simptomai įprastai būna švelnesni.
Dėl pemfigus vulgaris ligoniams dažnai reikia keisti mitybą, pasirinkti švelnų, nesudirginantį maistą, nes burnos gleivinės pūslelės sukelia diskomfortą. Sergant pemfigus foliaceus mitybos apribojimų nėra, nes burnos gleivinė lieka sveika.












