Kairiojo prieširdžio padidėjimas (KPP): simptomai, priežastys ir gydymas
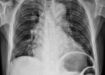
Širdies sveikata – vienas svarbiausių mūsų gyvenimo kokybės veiksnių. Kartais tam tikros širdies dalys turi prisitaikyti prie padidėjusio krūvio ar...
Skaityti daugiauDetailsGydytojas ir medicinos edukatorius, specializuojantis ligų diagnostikoje ir simptomų analizėje. Su daugiau nei 10 metų patirtimi klinikinėje praktikoje, jis siekia padėti žmonėms atpažinti galimus sveikatos sutrikimus ankstyvoje stadijoje ir skatinti savalaikę medicinos pagalbą.
Dr. Grinčius baigė medicinos studijas Vilniaus universitete, vėliau tobulinosi vidaus ligų diagnostikos srityje Europos sveikatos mokslų universitete. Dirbdamas šeimos gydytoju, jis pastebėjo, kaip dažnai pacientai ignoruoja simptomus arba interpretuoja juos neteisingai. Ši patirtis paskatino jį rašyti edukacinius straipsnius, kad žmonės geriau suprastų savo kūno siunčiamus signalus.
Luko straipsniuose pateikiama išsami, bet lengvai suprantama informacija apie įvairių ligų simptomus – nuo bendrų (pvz., nuovargis, galvos skausmas) iki retų ir sudėtingų (pvz., autoimuniniai simptomai ar neurologiniai sutrikimai). Jis taip pat dalijasi patarimais, kada svarbu kreiptis į gydytoją ir kokius pirmuosius žingsnius reikėtų atlikti.
Kai Lukas nerašo straipsnių ar nesigilina į naujausius medicinos tyrimus, jis mėgaujasi pasivaikščiojimais gamtoje, yra aktyvus sporto entuziastas ir dalyvauja sveikatos švietimo iniciatyvose. Jo misija – skatinti žmonių sąmoningumą apie sveikatą ir padėti jiems rūpintis savimi, pradedant nuo simptomų supratimo.
Širdies sveikata – vienas svarbiausių mūsų gyvenimo kokybės veiksnių. Kartais tam tikros širdies dalys turi prisitaikyti prie padidėjusio krūvio ar...
Skaityti daugiauDetailsKairiojo priekinio pluošto blokada – tai būklė, kai elektriniai širdies signalai susiduria su kliūtimi kairiojoje širdies dalyje, tiksliau – kairiojo...
Skaityti daugiauDetailsLeberio įgimta amaurozė – tai itin reta akių liga, dėl kurios naujagimiams būna smarkiai silpnas regėjimas arba jis visiškai prarandamas....
Skaityti daugiauDetailsŠirdies vožtuvų nesandarumas – tai dažna širdies vožtuvų ligos rūšis, kurios metu vienas iš keturių širdies vožtuvų neužsidaro visiškai sandariai....
Skaityti daugiauDetailsŠvino apsinuodijimas – tai būklė, kai vaiko organizme aptinkamas padidėjęs švino kiekis. Dažniausiai apsinuodijama prarijus ar įkvėpus švino, tačiau pavojų...
Skaityti daugiauDetailsLatticinis degeneracija – tai procesas, dėl kurio tinklainės audinys tampa plonesnis ir silpnesnis. Neretai specialių akių tyrimų metu šios vietos...
Skaityti daugiauDetailsLatentinis autoimuninis diabetas suaugusiems, dar vadinamas LADA arba 1,5 tipo diabetu, – tai specifinė cukrinio diabeto rūšis, apjungianti abiejų –...
Skaityti daugiauDetailsLasos karštligė – tai virusinė infekcija, dažniausiai pasitaikanti Vakarų Afrikoje. Šiai ligai būdinga dažniausiai nesunki eiga, tačiau apie penktadalį pacientų...
Skaityti daugiauDetailsLaringospazmas – tai būklė, kai balso stygos staiga nevalingai susitraukia, trumpam užblokuodamos kvėpavimo takus. Dėl šios priežasties žmogui tampa sunku...
Skaityti daugiauDetailsLaringomalacija – tai naujagimiams dažniausiai pasitaikantis anatominis gerklų (balso dėžutės) ypatumas, kai minkštieji audiniai virš balso raukšlių kvėpuojant laisvai užgula...
Skaityti daugiauDetailsGerklų plyšys – tai įgimtas plyšys, esantis tarp balso aparato ir stemplės. Šis tarpas lemia, kad maistas arba skysčiai gali...
Skaityti daugiauDetailsGerklų vėžys – tai liga, kuri vystosi jūsų gerklose, srityje tarp ryklės ir trachėjos. Gerklos yra itin svarbios balso stygų...
Skaityti daugiauDetailsDidelės granulinių limfocitų leukemija – tai reta lėtinės leukemijos forma, kuri paveikia tam tikras baltųjų kraujo kūnelių rūšis – limfocitus....
Skaityti daugiauDetailsLangya henipavirus (trumpiau – Langya virusas arba LayV) – tai neseniai atrastas virusas, galintis sukelti lengvus negalavimus, tokius kaip kosulys...
Skaityti daugiauDetailsLandau-Kleffner sindromas – reta neurologinė liga, kurią dažniausiai išgyvena vaikai. Pagrindiniai šios būklės požymiai – staigus arba palaipsnis gebėjimo suprasti...
Skaityti daugiauDetails2021 - 2026 © Copyright SveikatosRumai.lt. All Rights Reserved.