Kienböcko liga: simptomai, priežastys ir gydymas
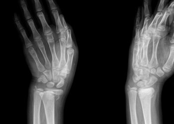
Kienböcko liga – tai reta būklė, kai po truputį nyksta mėnulio formos kaulas rieše, vadinamas lunatum. Ligai progresuojant, gali suprastėti...
Skaityti daugiauDetailsGydytojas ir medicinos edukatorius, specializuojantis ligų diagnostikoje ir simptomų analizėje. Su daugiau nei 10 metų patirtimi klinikinėje praktikoje, jis siekia padėti žmonėms atpažinti galimus sveikatos sutrikimus ankstyvoje stadijoje ir skatinti savalaikę medicinos pagalbą.
Dr. Grinčius baigė medicinos studijas Vilniaus universitete, vėliau tobulinosi vidaus ligų diagnostikos srityje Europos sveikatos mokslų universitete. Dirbdamas šeimos gydytoju, jis pastebėjo, kaip dažnai pacientai ignoruoja simptomus arba interpretuoja juos neteisingai. Ši patirtis paskatino jį rašyti edukacinius straipsnius, kad žmonės geriau suprastų savo kūno siunčiamus signalus.
Luko straipsniuose pateikiama išsami, bet lengvai suprantama informacija apie įvairių ligų simptomus – nuo bendrų (pvz., nuovargis, galvos skausmas) iki retų ir sudėtingų (pvz., autoimuniniai simptomai ar neurologiniai sutrikimai). Jis taip pat dalijasi patarimais, kada svarbu kreiptis į gydytoją ir kokius pirmuosius žingsnius reikėtų atlikti.
Kai Lukas nerašo straipsnių ar nesigilina į naujausius medicinos tyrimus, jis mėgaujasi pasivaikščiojimais gamtoje, yra aktyvus sporto entuziastas ir dalyvauja sveikatos švietimo iniciatyvose. Jo misija – skatinti žmonių sąmoningumą apie sveikatą ir padėti jiems rūpintis savimi, pradedant nuo simptomų supratimo.
Kienböcko liga – tai reta būklė, kai po truputį nyksta mėnulio formos kaulas rieše, vadinamas lunatum. Ligai progresuojant, gali suprastėti...
Skaityti daugiauDetailsInkstų augliai – tai pakitusių ląstelių dariniai, susidarę viename arba abiejuose inkstuose. Šie dariniai gali būti gerybiniai, tuomet nekelia pavojaus...
Skaityti daugiauDetailsInkstų akmenys – tai dažna šlapimo takų būklė, kuri pasireiškia, kai inkstuose susiformuoja kietos masės ar kristalai iš įvairių medžiagų,...
Skaityti daugiauDetailsInkstų vėžys vystosi, kai inksto audinyje pradeda nekontroliuojamai daugintis pakitusios ląstelės. Kol kas mokslininkai tiksliai nežino, kas nulemia šias ląstelių...
Skaityti daugiauDetailsKernikterus – tai labai retas sutrikimas, pasireiškiantis, kai naujagimio kraujyje susikaupia labai daug bilirubino. Bilirubinas atsiranda organizme skaidant senas kraujo...
Skaityti daugiauDetailsKeratokonusas – tai akių būklė, kai skaidri priekinė akies dalis, vadinama ragena, praranda įprastą apvalią formą ir ima ryškiai išsigaubti...
Skaityti daugiauDetailsKorneos uždegimas – dar vadinamas keratitu – visame pasaulyje išlieka pagrindinė aklumo dėl ragenos priežastis, nors laiku reaguojant jis gali...
Skaityti daugiauDetailsKearns-Sayre sindromas – reta neuromuskulinė liga, dažniausiai pasireiškianti jauname amžiuje. Šis sindromas veikia ne tik akis, bet gali apimti ir...
Skaityti daugiauDetailsKawasaki liga – reta liga, sukelianti kraujagyslių uždegimą (vaskulitą), kuri dažniausiai paveikia mažus vaikus. Uždegiminės ir pažeistos kraujagyslės gali susiaurėti,...
Skaityti daugiauDetailsKaposi sarkoma yra reta piktybinė liga, kurios metu organizme formuojasi nenormalių audinių židiniai, primenantys dėmeles ar mazgelius. Šie dariniai gali...
Skaityti daugiauDetailsKallmano sindromas – tai retas genetinis sutrikimas, kuris lemia lėtą arba neįvykstantį lytinį brendimą ir dažnai paveikia uoslės pojūtį. Jo...
Skaityti daugiauDetailsVaikų sisteminė sklerodermija – tai reta autoimuninė liga, kai vaiko oda ir kai kurie vidaus organai tampa standesni ir kietesni...
Skaityti daugiauDetailsJaunatvinis polipozės sindromas – tai reta genetinė liga, kai žarnyno gleivinėje kartotinai atsiranda polipų. Šie išaugos dažniausiai formuojasi storajame žarnyne...
Skaityti daugiauDetailsJaunatvinė nosiaryklės angiofibroma (JNA) yra itin reta, nepiktybinė naviko forma, kuri išauga už nosies, dažniausiai paaugliams berniukams. Šis navikas gausiai...
Skaityti daugiauDetailsJuvenilinė lokalizuota sklerodermija – tai reta autoimuninė liga, kuri vaikui sukelia odos sustorėjimą ir sukietėjimą. Šis sutrikimas dažnai dar žinomas...
Skaityti daugiauDetails2021 - 2026 © Copyright SveikatosRumai.lt. All Rights Reserved.