Blauzdos kaulo viršutinės dalies lūžis ties kelio sąnariu vadinamas blauzdikaulio plokštelės lūžiu. Šis sužalojimas paveikia vietą, kur susitinka šlaunikaulis ir blauzdikaulis – ten, kur kelio kremzlė sugeria kūno svorį. Lūžus šiai kaulo daliai, kelio sąnarys nebegali tinkamai amortizuoti judesio, todėl dažnai tenka visai nepriminti kojos, kol ji gyja.
Priežastys ir rizikos veiksniai
Dažniausiai šie lūžiai kyla dėl smarkaus smūgio į koją – pavyzdžiui, sužeidus kelį krentant iš aukščio, po automobilio avarijos ar sportuojant aktyviose sporto šakose, tokiose kaip slidinėjimas ar futbolas.
- krentant iš didelio aukščio
- patyrus stiprų traumą, pavyzdžiui, autokatastrofoje
- aktyviai sportuojant
Blauzdikaulio plokštelės lūžiui atsirasti didesnę įtaką turi tokie faktoriai kaip kaulų retėjimas (osteoporozė), infekcijos ar mineralų trūkumas, silpninantys kaulinį audinį. Susilpnėję kaulai tampa jautresni net ir smulkesnėms traumoms.
Kaip atpažinti lūžį?
Pagrindinis požymis – skausmas viršutinėje blauzdos dalyje po traumos. Taip pat gali atsirasti:
- negalią priminti ar apkrauti kojos
- patinimas ir mėlynės apie kelį
- skausmas judinant ar ramybėje
- blyškumas ar pabalusi koja dėl sutrikusios kraujotakos
- kartais – atviras lūžis, kai kaulo fragmentai prasiskverbia per odą
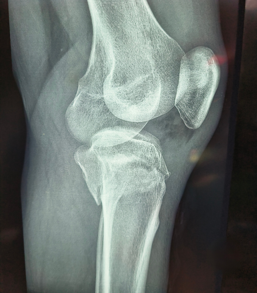
Kreipiantis į medikus, diagnozei patvirtinti gali būti atliekami rentgeno, kompiuterinės tomografijos ar magnetinio rezonanso tyrimai.
Komplikacijos: skyriaus sindromas
Viena iš dažniausių šio tipo lūžio komplikacijų – kraujavimas ar stiprus tinimas apatinės kojos priekyje, vadinamajame raumenų skyriuje. Ši būklė gali padidinti spaudimą audiniuose, apsunkinti kraujo tekėjimą, pažeisti raumenis, nervus ar kraujagysles. Negydoma ši būklė kelia rimtą grėsmę galūnės raumenų gyvybingumui ir reikalauja skubios medicininės pagalbos.
Lūžių klasifikacija pagal Schatzker
Norint tiksliai įvertinti lūžio tipą ir parinkti gydymą, naudojama šešių tipų sistema:
- I tipas – pleišto formos, nedaug praspaudęs (<4 mm) lūžis
- II tipas – I tipo lūžį lydi kaulo įduba
- III tipas – šoninės blauzdikaulio plokštelės įduba (IIIa – šoninė, IIIb – centrinė)
- IV tipas – vidinės blauzdikaulio pusės lūžis su įtrūkiu ar įduba
- V tipas – pleišto formos abiejų kelio dalių (vidinės ir išorinės) lūžis
- VI tipas – skersinis lūžis, atskiriantis kaulo vidurinę dalį nuo siauresnės
Kuo aukštesnis klasifikacijos tipas, tuo sunkesnis lūžis ir sudėtingesnis gydymas.
Gydymas ir sveikimas
Gydymo taktika priklauso nuo lūžio sunkumo. Esant nestipriems lūžiams dažniausiai taikomas konservatyvus gydymas:
- poilsis ir kelio imobilizacija specialiose įtvaruose
- vengimas apkrauti pažeistą koją
- skausmo valdymas vaistais
- šaltas kompresas ir galūnės pakėlimas, kad sumažėtų tinimas
Sunkesniais atvejais reikalinga operacija, kurios metu kaulo fragmentai sutvirtinami varžtais ir plokštelėmis. Dažniausiai po chirurginio gydymo kelio judrumas ir funkcija sėkmingai atkuriami.
Kaulo gijimo laikas priklauso nuo traumos sudėtingumo ir taikyto gydymo, tačiau dažniausiai sveikimo procesas užtrunka nuo trijų iki šešių mėnesių.
Pagrindinė informacija
Blauzdikaulio plokštelės lūžis – tai rimtas kelio trauminis sužeidimas, dažniausiai neleidžiantis priminti kojos. Jei po stiprios traumos atsiranda kelio skausmas, tinimas, deformacija ar sutrinka judesys, būtina skubiai kreiptis į gydytojus ir tiksliai diagnozuoti sužeidimą. Laiku paskirtas gydymas padeda išvengti komplikacijų ir greičiau sugrįžti į kasdienį aktyvumą.













