Meconiuminė iliuzija – tai būklė, kuomet naujagimio plonoji žarna užsikemša dėl itin tiršto pirmojo tuštinimosi (mekonijaus). Šis reiškinys dažniausiai pasireiškia vos gimus ar netgi per pirmąsias kelias paras po gimimo. Mekonijus – tai tamsesnės spalvos, tirštesnis ir lipnesnis nei įprastos išmatos kūdikio tuštinimasis, susiformuojantis dar vaisiaus vystymosi metu, kai kūdikis ryja vaisiaus vandenis.
Kas yra meconiuminė iliuzija
Meconiuminė iliuzija reiškia naujagimio plonosios žarnos užkimšimą per tirštą mekonijų. Normaliomis sąlygomis naujagimiai pirmą kartą pasituština per 24–48 valandas po gimimo. Jei šis mekonijus nepaprastai tirštas ir klampus, jis gali užblokuoti paskutinę plonosios žarnos dalį – klubinę žarną. Dėl tokio blokavimo žarnynas virš pažeistos vietos išsiplečia, sukeldamas pilvo pūtimą, o po užsikimšimo esanti storoji žarna sumažėja iki įprasto dydžio.
Meconiuminės iliuzijos tipai
- Paprasta meconiuminė iliuzija. Tirštas mekonijus užkemša žarnyną, bet tai nesukelia kitų papildomų komplikacijų.
- Sudėtinga meconiuminė iliuzija. Kai mekonijaus kaupimasis būna itin didelis, gali atsirasti stiprus žarnyno spaudimas ir patinimas, o tai sukelia papildomų sunkių pažeidimų.
Kokios komplikacijos galimos?
- Žarnyno malrotacija – netaisyklinga žarnyno padėtis pilvo ertmėje. Dažnai tai lemia žarnyno užsisukimas, kuris gali pertraukti kraujotaką ir pridaryti rimtos žalos.
- Žarnyno atrezija – sunki būsena, kai žarnyno dalys dėl užsisukimo ar sugadintos kraujotakos gali neišsivystyti iki galo arba jų visai trūkti.
- Žarnyno perforacija – susiformuoja skylė žarnyno sienelėje, dėl kurios mekonijus patenka į pilvo ertmę. Tai gresia infekcija, šoku ir netgi mirtimi.
Meconiuminė iliuzija – kam ji būdinga?
Ši būklė labai dažnai pasireiškia vaikams, sergantiems cistine fibroze. Pirmasis šios genetinės ligos požymis apie dešimtadaliui–penktadaliui ją turinčių vaikų būtent ir būna meconiuminė iliuzija. Tyrimai rodo, kad iki 90 % naujagimių, kuriems pasireiškia ši žarnyno užsikimšimo forma, turi ir cistinę fibrozę.
Meconiuminės iliuzijos priežastys
Pagrindinė šios būklės priežastis yra cistinė fibrozė – genetinė liga, kai žarnyno išskyros tampa neįprastai klampios ir tirštos, todėl užkemša plonąją žarną. Neretai kūdikiai, kuriems pasireiškia meconiuminė iliuzija, vėliau patiria ir kitų cistinės fibrozės simptomų.
Meconiuminės iliuzijos simptomai
Pagrindinis požymis – naujagimis per pirmąsias dvi paras po gimimo neišmatavo mekonijaus. Taip pat gali pasireikšti:
- Vėmimas
- Pastebimas pilvo pūtimas, kuris gali trikdyti ir kvėpavimą
- Stipriai išsiplėtusio žarnyno kilpos apčiuopiamos per pilvo sieną
- Jei atsirado žarnyno perforacija – pilvo paraudimas, skausmingumas, karščiavimas, šoko požymiai
Diagnostika
Meconiuminę iliuziją kartais galima įtarti dar prieš gimdymą, jei echoskopija parodo žarnyne esančius blokavimo požymius. Dažniausiai liga nustatoma po gimdymo, remiantis naujagimio simptomais ir šeimos anamneze – pavyzdžiui, jei šeimoje pasitaiko cistinės fibrozės arba naujagimis gavo teigiamus cistinės fibrozės tyrimų rezultatus.
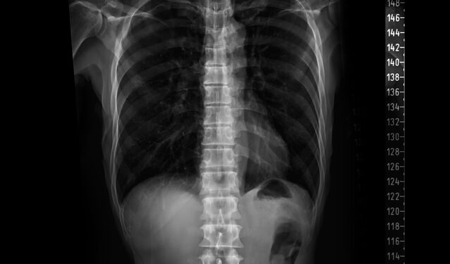
Kokie tyrimai atliekami?
- Pilvo rentgenograma – šis tyrimas padeda pastebėti išsiplėtusias žarnyno kilpas. Jei mekonijus susimaišęs su nurytu oru, nuotraukose gali matytis vadinamų „muilo burbulų“ struktūra.
- Kontrastinė klizma – į tiesiąją žarną suleidžiama kontrastinė medžiaga, padedanti įvertinti žarnos diametrą ir nustatyti malrotaciją. Jei pastebima malrotacija, skiriamas viršutinės virškinamojo trakto tyrimas, kuris parodo tikslią žarnyno padėtį ir užsisukimo vietą.
- Kartais atliekamas ir prakaito testas cistinės fibrozės patikrinimui.
Gydymas
Jei meconiuminė iliuzija yra sudėtinga – žarnynas užsisukęs ar prakiuręs – reikia skubios operacijos. Paprastesniais atvejais gydytojas pirmiausia gali bandyti išplauti užsikimšimą klizma su specialiomis medžiagomis, kurios tirpdo tirštą mekonijų. Tirpalas lėtai suleidžiamas į tiesiąją žarną per kateterį, gydymą stebint specialiu rentgeno tyrimu – fluoroskopija, kuri leidžia realiu laiku sekti tirpalo judėjimą žarnyne.
Jeigu klizma nepadeda, tenka chirurginiu būdu atverti žarną ir pašalinti mekonijų. Esant reikalui, po operacijos žarnos galai gali būti išvesti į pilvo paviršių (atliekama laikina ileostomija), o žarnynas visiškai atkuriamas vėlesnės operacijos metu.
Profilaktika
Meconiuminės iliuzijos išvengti neįmanoma, nes dažniausiai ją lemia paveldima cistinė fibrozė. Planuojant nėštumą ar jam jau prasidėjus, galima atlikti genetinę cistinės fibrozės nešiojimo patikrą, kad sužinotumėte riziką susilaukti su šia liga sergančio vaiko.
Prognozė
Net ir sudėtingos meconiuminės iliuzijos atvejais prognozė dažniausiai būna gera, jei liga nustatoma ir gydoma laiku. Nors ši būklė paprastai siejama su cistine fibroze, ankstyva diagnostika ir gydymas padeda išsaugoti gerą kūdikio kvėpavimo funkciją ir maitinimą, taip pat sumažina infekcijų pavojų. Negydant prognozė bloga, todėl svarbu neatidėlioti gydymo.













