Maffucci sindromas – itin reta liga, kuri paveikia kaulus ir odą. Šią būklę dažniausiai apibūdina kremzlės dariniai kauluose (enchondromos), kaulinio audinio deformacijos bei odos paviršiuje pasirodančios kraujagyslių raizginiai – hemangiomos. Sindromui būdingas kremzlės išvešėjimas kyla dėl gerybinių navikų, kurie vystosi kauluose.
Kas yra maffucci sindromas
Liga pasireiškia tūkstančiais kremzlės navikų, galinčių sukelti stiprius skeleto iškrypimus, galūnių trumpumą, dažnus lūžius. Nors šie dariniai dažnai būna rankose ir pėdose, bet gali išplisti į rankų, kojų kaulus, šonkaulius, kaukolę ar stuburą. Dėl spartaus augimo gali sutrikti galūnių vystymasis, o laikui bėgant išvešėjusi kremzlė lemia kaulų kreivumą ar net netaisyklingą stuburo linkį.
Kuo ši liga pavojinga
Pavienių auglių atsiradimas dažniausiai nebūna piktybinis, tačiau laikui bėgant sparčiai didėja vėžio – ypač chondrosarkomos – rizika. Maždaug pusė sergančiųjų maffucci sindromu anksčiau ar vėliau susiduria su kaulų vėžiu, be to, tikimybė susirgti ir kitomis onkologinėmis ligomis yra didesnė nei įprasta.
Kiek dažnas maffucci sindromas
Ši liga labai reta – visame pasaulyje aprašyta tik keletas šimtų atvejų.
Maffucci sindromo simptomai
Pagrindinius šios ligos simptomus lemia kremzlės navikai (enchondromos), dėl kurių gali atsirasti:
- Kaulų skausmas
- Dažni ar pasikartojantys lūžiai
- Kreivos ar išlinkusios galūnės
- Iššokusios, išsigaubusios kaulų vietos
- Netaisyklingas stuburas
- Kaulo irimas (osteolizė)
- Didesnis ar mažesnis ūgio atsilikimas
- Nelygių ilgių rankos ar kojos
Hemangiomų simptomai apima:
- Kraujagyslių užsikimšimus (trombai)
- Limfangiomas (skysčio pripildytos cistos limfagyslėse)
- Raudonos, melsvos ar violetinės spalvos kraujagyslių raštus odoje, dažniau ant rankų, kurie ilgainiui gali sukietėti ir tapti nelygūs
- Neišsivysčiusios raumenų sritys
Maffucci sindromo kilmė ir priežastys
Šią būklę lemia atsitiktinė – dažniausiai dar prieš gimimą įvykstanti – genetinė IDH1 arba rečiau IDH2 geno mutacija. Šie genai svarbūs medžiagų apykaitos procesams, tačiau iki šiol ne visiškai aišku, kaip genų pokyčiai išprovokuoja Maffucci sindromo požymius. Tai – pavienė genetinė mutacija, todėl liga nėra paveldima.
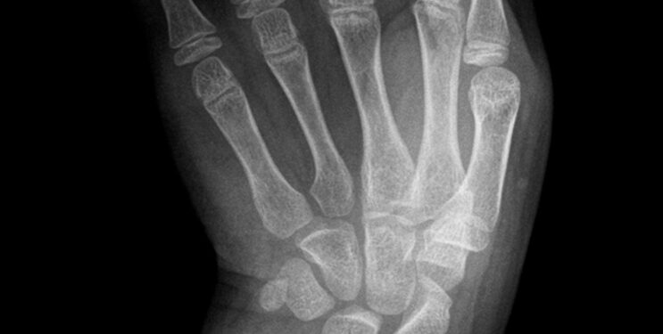
Kaip nustatoma ši liga
Diagnozuoti dažniausiai padeda išsamus gydytojo apžiūra ir ligos istorija. Kaulų būklei vertinti taikomi rentgenologiniai, kompiuterinės tomografijos tyrimai. Kartais atliekami būtini tyrimai – paimami audinių ar kaulo mėginiai ištyrimui mikroskopu.
Maffucci sindromo gydymo galimybės
Šiuo metu nėra būdo visiškai išgydyti Maffucci sindromą. Gydymas orientuotas į ankstyvą galimų navikų nustatymą ir jų šalinimą, lūžių profilaktiką bei simptomų palengvinimą. Svarbu reguliariai stebėti kaulus, todėl periodiškai atliekami vaizdiniai tyrimai.
Priklausomai nuo pažeidimų sunkumo, taikomi įvairūs gydymo metodai:
- Stuburo iškrypimų (skoliozės) korekcija specialiais įtvarais ar chirurginėmis priemonėmis
- Lūžių gydymas – gipsavimas, įtvarai, operacijos
- Batai su specialiais įdėklais ar chirurginiai sprendimai – skirtingo ilgio galūnių pakoregavimui
- Rankų kaulų augimo korekcijos
- Chirurginis kremzlės navikų (enchondromų) šalinimas
Kai kraujagysliniai dariniai kelia diskomfortą, gali būti taikoma skleroterapija (į naviką suleidžiama medžiaga, mažinanti jo dydį) ar chirurginis jų pašalinimas.
Kokių gydytojų pagalbos prireikia
Šią diagnozę turinčiam žmogui reikalinga daugiadisciplininė specialistų priežiūra:
- Odos gydytojas (dermatologas) – padeda valdyti ar šalinti hemangiomas
- Traumatologas-ortopedas – rūpinasi lūžiais, skeleto deformacijomis, atlieka operacijas
- Ortopedijos onkologas – stebi piktybinius navikus, esant reikalui juos šalina
- Radiologas – nuolat vertina kaulų būklę vaizdiniais tyrimais
Maffucci sindromo prevencija
Šiuo metu nėra žinomos priemonės, kuri apsaugotų nuo šios retos genetinės ligos, nes mutacija atsiranda spontaniškai.
Ligos prognozė ir gyvenimas su sindromu
Maffucci sindromas yra lėtinis, visą gyvenimą trunkantis sveikatos sutrikimas. Kai kuriems žmonėms jis sukelia tik minimalius funkcinius ar estetikos pokyčius ir nepagrindžia didelių apribojimų, kiti turi reikšmingų skeleto problemų ir fizinių iššūkių.
Būklė neturi įtakos protinėms galioms, tačiau, išsivysčius onkologinėms ligoms, gyvenimo trukmė gali sutrumpėti.
Gyvenimo gairės sergantiems šia liga
Šia liga sergantys asmenys yra didesnės rizikos susirgti vėžiu, todėl svarbu reguliariai lankytis gydytojų patikrose ir laikytis jų rekomendacijų. Ankstyvas navikų diagnozavimas didina sėkmingo gydymo šansus.
Panašios ligos, pavadinimai ir skirtumai
Maffucci ir Ollier sindromai abu priklauso enchondromatozių grupei, tačiau pastarasis nėra susijęs su hemangiomomis. Retesni alternatyvūs maffucci sindromo pavadinimai – chondrodysplasia su hemangioma, chondroplasia angiomatosis, dischondroplazija su hemangiomomis, endchondromatosis su hemangiomatais, kuriuos visus jungia gerybiniai kremzlės dariniai bei kraujagyslinės anomalijos.













